×
Cuando realices una consulta fíjate bien en quien te responde para valorar la verdadera capacidad de respuesta de dicha persona basándote en sus conocimientos. Nunca te fíes ciegamente de ninguna respuesta que te den, ANTES DE CONSUMIR UN EJEMPLAR DESCONOCIDO consulta siempre con un micólogo que pueda ver físicamente el ejemplar, llevale todos los ejemplares que vayas a consumir porque puede que dos setas que te parezcan iguales no lo sean. Para facilitar una identificación es recomendable especificar detalles del hábitat, tamaño (la cámara engaña), color de las láminas de maduras etc.
Hongo sin identificar
- Alexis
-
Autor del tema
- Fuera de línea
- Navegador Iniciado
-
Menos
Más
- Mensajes: 9
- Gracias recibidas: 9
3 años 6 meses antes #107736
por Alexis
Respuesta de Alexis sobre el tema Hongo sin identificar
El siguiente usuario dijo gracias: Juan
Por favor, Identificarse para unirse a la conversación.
- Josep Torres
-
- Fuera de línea
- Moderador
-
Menos
Más
- Mensajes: 8745
- Gracias recibidas: 8379
3 años 6 meses antes #107737
por Josep Torres
Respuesta de Josep Torres sobre el tema Hongo sin identificar
Hola Alexis, aunque la gleba blanca y lisa nos puede despistar, el aspecto tuberculado de tus ejemplares descarta ya un posible Lycoperdon, habría que ver como va evolucionando, ninguno de ellos en estado adulto tiene la gleba de color blanco, Tampoco "afirmo" que en tu caso se trate de Leucogaster nudus, digo que "quizás" podria tratarse de este, es simplemente que a día de hoy no conozco ninguno de más parecido a tu propuesta. Por supuesto su microscopía se me antoja interesante, y muy probablemente aclararía muchas dudas.
Es que yo sin el micro estoy perdido.
Saludos.
Es que yo sin el micro estoy perdido.
Saludos.
El siguiente usuario dijo gracias: Juan
Por favor, Identificarse para unirse a la conversación.
- Alexis
-
Autor del tema
- Fuera de línea
- Navegador Iniciado
-
Menos
Más
- Mensajes: 9
- Gracias recibidas: 9
3 años 6 meses antes #107739
por Alexis
Respuesta de Alexis sobre el tema Hongo sin identificar
Adjuntos:
El siguiente usuario dijo gracias: Juan
Por favor, Identificarse para unirse a la conversación.
- Juan
-
- Fuera de línea
- Moderador
-
Menos
Más
- Mensajes: 553
- Gracias recibidas: 608
3 años 6 meses antes #107740
por Juan
Respuesta de Juan sobre el tema Hongo sin identificar
Sip es como te dice Josep, la verdad es muy intrigante tu ejemplar, porque por fuera parece un tubérculo pero por dentro parece otra especie XD
PD: con respecto a las muestras del microscopio es verdad que puede ser un ejemplar joven, en este caso Josep como sabemos cuando arrancarlo para sacar muestras o hacer cortes?
Tengo mis dudas respecto a eso también.
Gracias! :3
PD: con respecto a las muestras del microscopio es verdad que puede ser un ejemplar joven, en este caso Josep como sabemos cuando arrancarlo para sacar muestras o hacer cortes?
Tengo mis dudas respecto a eso también.
Gracias! :3
Por favor, Identificarse para unirse a la conversación.
- Alexis
-
Autor del tema
- Fuera de línea
- Navegador Iniciado
-
Menos
Más
- Mensajes: 9
- Gracias recibidas: 9
3 años 6 meses antes #107741
por Alexis
Respuesta de Alexis sobre el tema Hongo sin identificar
Adjuntos:
El siguiente usuario dijo gracias: Juan
Por favor, Identificarse para unirse a la conversación.
- Josep Torres
-
- Fuera de línea
- Moderador
-
Menos
Más
- Mensajes: 8745
- Gracias recibidas: 8379
3 años 6 meses antes - 3 años 6 meses antes #107742
por Josep Torres
Respuesta de Josep Torres sobre el tema Hongo sin identificar
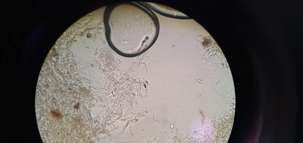
Hola Juan y Alexis, lo ideal a la hora de estudiar una especie es la de disponer al menos de un par de ejemplares, a ser posible uno en estado joven y otro ya más desarrollado, por desgracia en muchos casos si el ejemplar del estudio está poco desarrollado en la microscopía no aparecen los elementos necesarios para su correcta identificación, con las imágenes micro que nos muestras ni tan siquiera podemos determinar si se trata de un Ascomiceto o un Basidiomiceto, la primera de las imágenes podría corresponderse a esporas, sería interesante el conocer sus medidas, o por lo menos a cuantos aumentos ha sido tomada, es que si la imágen no es a 1000 aumentos no se pueden apreciar los detalles de la ornamentación, muy importantes a nivel taxonómico.
Cos esporas de pequeño tamaño, más o menos globosas tenemos con un aspecto exterior muy parecido al Choiromyces magnusii, aunque sigue sin encajarme la imágen del corte.
Siento el no poder aportar algo más.
Saludos.
Cos esporas de pequeño tamaño, más o menos globosas tenemos con un aspecto exterior muy parecido al Choiromyces magnusii, aunque sigue sin encajarme la imágen del corte.
Siento el no poder aportar algo más.
Saludos.
Última Edición: 3 años 6 meses antes por Josep Torres.
El siguiente usuario dijo gracias: Juan
Por favor, Identificarse para unirse a la conversación.
Tiempo de carga de la página: 0.056 segundos



Foro de micología