×
Cuando realices una consulta fíjate bien en quien te responde para valorar la verdadera capacidad de respuesta de dicha persona basándote en sus conocimientos. Nunca te fíes ciegamente de ninguna respuesta que te den, ANTES DE CONSUMIR UN EJEMPLAR DESCONOCIDO consulta siempre con un micólogo que pueda ver físicamente el ejemplar, llevale todos los ejemplares que vayas a consumir porque puede que dos setas que te parezcan iguales no lo sean. Para facilitar una identificación es recomendable especificar detalles del hábitat, tamaño (la cámara engaña), color de las láminas de maduras etc.
en tocon de pino
- Jon ander
-
Autor del tema
- Fuera de línea
- Navegador Dorado
-
Menos
Más
- Mensajes: 318
- Gracias recibidas: 178
8 años 4 meses antes #97044
por Jon ander
en tocon de pino Publicado por Jon ander
me la he encontrado siempre en tocon de pino en descomposicion, mi propuesta podria ser alguna estrofaria o cortinarius?.
el tamaño del sombrero puede variar de hasta 15-20 ctm.
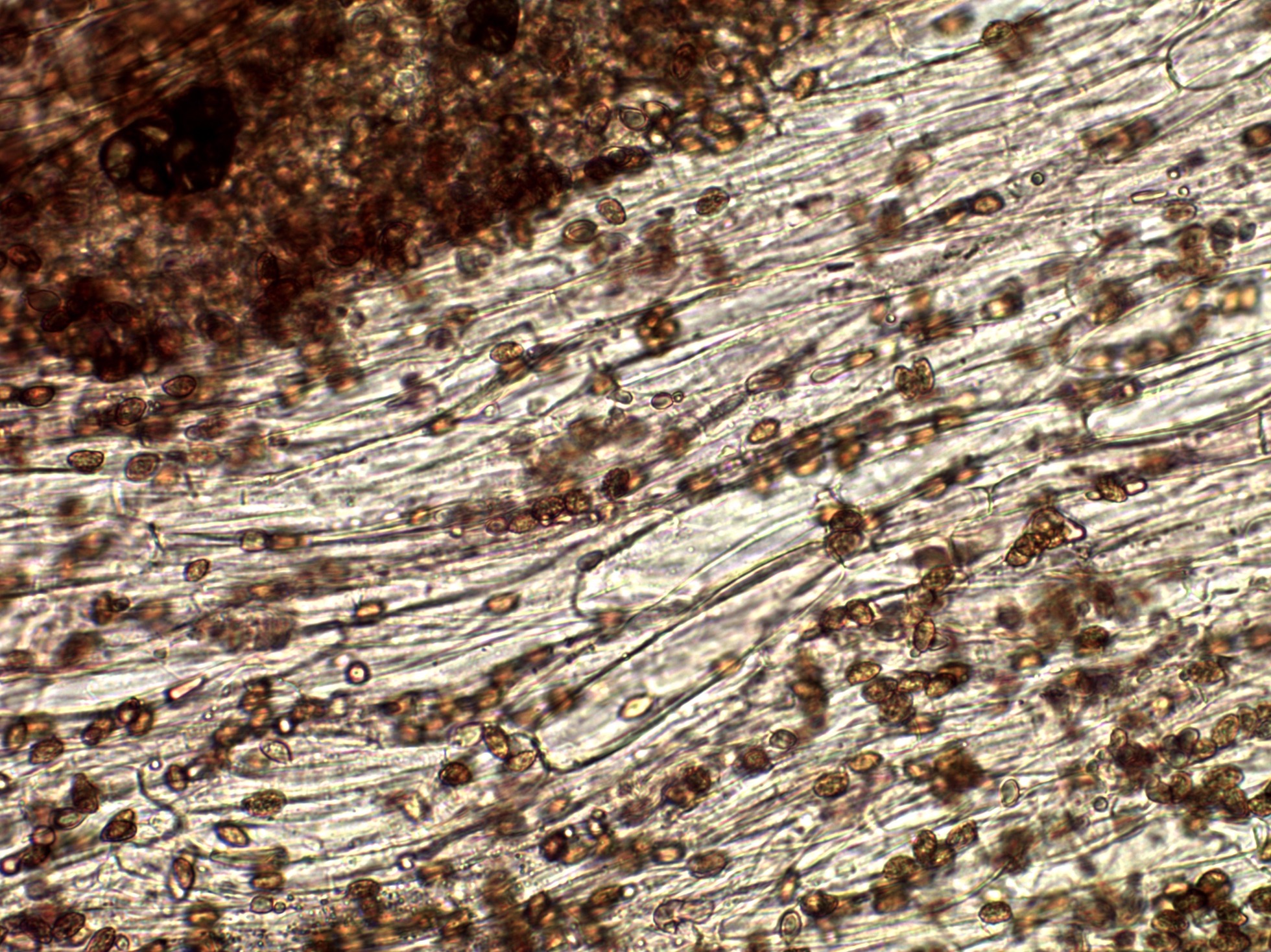
en cuanto a la microscopia, es la primera vez que expongo porque no suelo conseguir hacer una foto que pueda identificar algo (debido a mi inexperiencia) asi que si meto la pata pido disculpas...
pileipellis
trama laminar
basidios
el tamaño del sombrero puede variar de hasta 15-20 ctm.
en cuanto a la microscopia, es la primera vez que expongo porque no suelo conseguir hacer una foto que pueda identificar algo (debido a mi inexperiencia) asi que si meto la pata pido disculpas...
pileipellis
trama laminar
basidios
El siguiente usuario dijo gracias: Josep Torres, Rovellò
Por favor, Identificarse para unirse a la conversación.
- javier
-
- Fuera de línea
- Moderador
-
Menos
Más
- Mensajes: 5617
- Gracias recibidas: 4356
8 años 4 meses antes #97045
por javier
Respuesta de javier sobre el tema en tocon de pino
Hola Jon Ander, esta especie es bien fácil: en tocón de pino o Eucalipto.... Gymnopilus spectabilis = Gymnopilus junonius.
En maderas de alcornoque....Gymnopilus suberis
salu2
En maderas de alcornoque....Gymnopilus suberis
salu2
Por favor, Identificarse para unirse a la conversación.
- Rovellò
-
- Fuera de línea
- Navegador Dorado
-
Menos
Más
- Mensajes: 273
- Gracias recibidas: 154
8 años 4 meses antes #97047
por Rovellò
Respuesta de Rovellò sobre el tema en tocon de pino
Hola Jon Ander. Otro para Gymnopilus junonios. Saludos.
Por favor, Identificarse para unirse a la conversación.
- Josep Torres
-
- Fuera de línea
- Moderador
-
Menos
Más
- Mensajes: 8746
- Gracias recibidas: 8379
8 años 4 meses antes #97057
por Josep Torres
Respuesta de Josep Torres sobre el tema en tocon de pino
Gracias Jon Ander, esta no ofrece dudas, Gymnopilus junonius = Gymnopilus spectabilis.
Por cierto, bonita micro
, cuando paso cualquier especie con láminas por el micro lo primero que hago es observar la arista laminar, la presencia o no de queilocistidios y la morfología de estos nos aporta muchos datos que son determinantes para una correcta identificación, en el caso del Gymnopilus junonius los queilocistidios son alargados y capitados, muy bien con la Pileipellis y los basidios
Saludos.
Por cierto, bonita micro
Saludos.
Por favor, Identificarse para unirse a la conversación.
- Jon ander
-
Autor del tema
- Fuera de línea
- Navegador Dorado
-
Menos
Más
- Mensajes: 318
- Gracias recibidas: 178
8 años 4 meses antes #97071
por Jon ander
Respuesta de Jon ander sobre el tema en tocon de pino
Gracias a todos, me queda claro.
Josep, gracias por tus palabras de ánimo y comentarios vienen muy bien
Un abrazo.
Josep, gracias por tus palabras de ánimo y comentarios vienen muy bien
Un abrazo.
Por favor, Identificarse para unirse a la conversación.
Tiempo de carga de la página: 0.118 segundos



Foro de micología