×
Cuando realices una consulta fíjate bien en quien te responde para valorar la verdadera capacidad de respuesta de dicha persona basándote en sus conocimientos. Nunca te fíes ciegamente de ninguna respuesta que te den, ANTES DE CONSUMIR UN EJEMPLAR DESCONOCIDO consulta siempre con un micólogo que pueda ver físicamente el ejemplar, llevale todos los ejemplares que vayas a consumir porque puede que dos setas que te parezcan iguales no lo sean. Para facilitar una identificación es recomendable especificar detalles del hábitat, tamaño (la cámara engaña), color de las láminas de maduras etc.
Lepiota cf brunneoincarnata
- Héctor
-
Autor del tema
- Fuera de línea
- Moderador
-
Menos
Más
- Mensajes: 1022
- Gracias recibidas: 1026
9 años 10 meses antes #87901
por Héctor
Lepiota cf brunneoincarnata Publicado por Héctor
Muy buenas,
esta preciosidad fue encontrada en un jardín con riego diario, tenía un aroma fúngico agradable y la recogimos para estudiarla.
En principio pensamos en L. brunneoincarnata como el candidato más posible, si bien su pie es algo escamoso, no es que sea muy evidente. Además el tamaño esporal parece un poco menor, no se qué importancia tiene esto.
Os pongo las imágenes
Aquí está el grupo que encontramos, aunque había algún ejemplar más
detalle del sombrero, con escamas pardo rojizas concéntricas
detalle del pie, se aprecia alguna escama, pero no es algo muy llamativo.
y ahora vamos con el estudio microscópico que hicimos, como siempre, tuve una muy buena ayuda
las laminillas
dos detalles del corte, que creo q no presentan nada muy significativo
detalle de la arista laminar, en que pueden apreciarse los queilocistidios digitaliformes
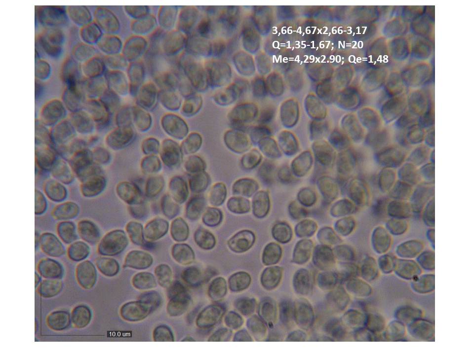
y ya por último, las esporas, obtenidas de la esporada en masa
El tamaño es algo menor que lo que hemos leído en la bibliografía, pero no nos cuadra bien con otra especie, puesto que las que hemos mirado, se alejan más del tamaño. La chica que me ayuda tiene la teoría que quizás creen esporas más pequeñas al estar en condiciones peores. La cogimos el viernes y la pusimos a esporar en la nevera. Como el lunes no había nada, la sacamos y hoy ya sí que había esporado, quizás pueda crear esporas menores por el paso de tantos días???
A ver si podéis echarnos una mano, gracias.
esta preciosidad fue encontrada en un jardín con riego diario, tenía un aroma fúngico agradable y la recogimos para estudiarla.
En principio pensamos en L. brunneoincarnata como el candidato más posible, si bien su pie es algo escamoso, no es que sea muy evidente. Además el tamaño esporal parece un poco menor, no se qué importancia tiene esto.
Os pongo las imágenes
Aquí está el grupo que encontramos, aunque había algún ejemplar más
detalle del sombrero, con escamas pardo rojizas concéntricas
detalle del pie, se aprecia alguna escama, pero no es algo muy llamativo.
y ahora vamos con el estudio microscópico que hicimos, como siempre, tuve una muy buena ayuda
las laminillas
dos detalles del corte, que creo q no presentan nada muy significativo
detalle de la arista laminar, en que pueden apreciarse los queilocistidios digitaliformes
y ya por último, las esporas, obtenidas de la esporada en masa
El tamaño es algo menor que lo que hemos leído en la bibliografía, pero no nos cuadra bien con otra especie, puesto que las que hemos mirado, se alejan más del tamaño. La chica que me ayuda tiene la teoría que quizás creen esporas más pequeñas al estar en condiciones peores. La cogimos el viernes y la pusimos a esporar en la nevera. Como el lunes no había nada, la sacamos y hoy ya sí que había esporado, quizás pueda crear esporas menores por el paso de tantos días???
A ver si podéis echarnos una mano, gracias.
El siguiente usuario dijo gracias: Josep Torres, Roberto
Por favor, Identificarse para unirse a la conversación.
- Josep Torres
-
- Conectado
- Moderador
-
Menos
Más
- Mensajes: 8746
- Gracias recibidas: 8379
9 años 10 meses antes - 9 años 10 meses antes #87919
por Josep Torres
Respuesta de Josep Torres sobre el tema Lepiota cf brunneoincarnata
Hola Héctor, no nos indicas a los aumentos a los que están las esporas, a no ser que se trate de 2000 aumentos o más no termina de encajarme el aspecto. Mi micro solo llega a 1000 aumentos y una imagen de esporas de medidas aún mayores que las que nos indicas, a 1000 aumentos el especto es el de la imagen.
La imagen es de esporas de una Limacella, de las mas pequeñas que me he encontrado hasta el momento, aún así son de tamaño mayor que las tuyas. Si la imagen que nos ofreces no está ampliada, o está obtenida con 2000 aumentos, es preciso que revises la calibración.
Un abrazo
La imagen es de esporas de una Limacella, de las mas pequeñas que me he encontrado hasta el momento, aún así son de tamaño mayor que las tuyas. Si la imagen que nos ofreces no está ampliada, o está obtenida con 2000 aumentos, es preciso que revises la calibración.
Un abrazo
Última Edición: 9 años 10 meses antes por Josep Torres.
El siguiente usuario dijo gracias: Héctor
Por favor, Identificarse para unirse a la conversación.
- Héctor
-
Autor del tema
- Fuera de línea
- Moderador
-
Menos
Más
- Mensajes: 1022
- Gracias recibidas: 1026
9 años 10 meses antes #87926
por Héctor
Respuesta de Héctor sobre el tema Lepiota cf brunneoincarnata
Gracias Josep, me has acojonado
pero ahora he medido unas esporas de un pluteus y las medidas son correctas.
Las mediciones están hechas a 1000x, el máximo de mi micro también. Nos dan medidas menores a las de la bibliografía, de ahí las dudas que nos genera esto.
Las medidas de las esporas pueden ser algo variables?
Las mediciones están hechas a 1000x, el máximo de mi micro también. Nos dan medidas menores a las de la bibliografía, de ahí las dudas que nos genera esto.
Las medidas de las esporas pueden ser algo variables?
Por favor, Identificarse para unirse a la conversación.
- Josep Torres
-
- Conectado
- Moderador
-
Menos
Más
- Mensajes: 8746
- Gracias recibidas: 8379
9 años 10 meses antes #87930
por Josep Torres
Respuesta de Josep Torres sobre el tema Lepiota cf brunneoincarnata
Gracias Héctor, es que me ha parecido que de tratarse de 1000 aumentos las veía muy grandes en comparación con las medidas que nos in dicas. Si que es cierto que a veces la medida de estas varía considerablemente, he comprobado que en algunos casos que no sueltan esporas, y para poder observarlas tienes que destruir unas láminas con la aguja de disección, con lo cuál estás forzando que se suelten estas, las medidas son considerablemente inferiores ya que no están completamente desarrolladas. También en condiciones de extrema sequía aparecen resultados de tamaños menores . Aparte intento siempre comparar los resultados de mis mediciones con la bibliografía de cada especie siempre utilizando los mismos reactivos , ya que las medidas cambian mucho según el que utilices, te dejo un ejemplo de esporas de Stereum subtomentosum, unas medidas con agua destilada y las mismas esporas con reactivo de Melzer, con resultados muy dispares.
Lo de las medidas me trae loco la diferencia que me he encontrado con un más que posible Chlorophyllum molybdites, con esporada verde y fotografiado en el Caribe en el que mis esporas presentan un tamaño menor que la bibliografía, es que de Lepiotas con esporada de color verde solo se me ocurre esta y la Lepiota cristata var. viridispora, aunque en este caso aparte del tamaño macroscopicamente más pequeño de la misma, también las esporas deberían ser mas pequeñas, llevo cuatro meses en ello y a día de hoy aún la tengo como pendiente de identificación, así que no te quejes por un solo día que llevas buscando
Un fuerte abrazo
Lo de las medidas me trae loco la diferencia que me he encontrado con un más que posible Chlorophyllum molybdites, con esporada verde y fotografiado en el Caribe en el que mis esporas presentan un tamaño menor que la bibliografía, es que de Lepiotas con esporada de color verde solo se me ocurre esta y la Lepiota cristata var. viridispora, aunque en este caso aparte del tamaño macroscopicamente más pequeño de la misma, también las esporas deberían ser mas pequeñas, llevo cuatro meses en ello y a día de hoy aún la tengo como pendiente de identificación, así que no te quejes por un solo día que llevas buscando
Un fuerte abrazo
El siguiente usuario dijo gracias: Héctor
Por favor, Identificarse para unirse a la conversación.
- Héctor
-
Autor del tema
- Fuera de línea
- Moderador
-
Menos
Más
- Mensajes: 1022
- Gracias recibidas: 1026
9 años 10 meses antes #88111
por Héctor
Respuesta de Héctor sobre el tema Lepiota cf brunneoincarnata
Después de varios días buscando, creo que he dado con la candidata buena, Lepiota lilacea. Me coincide macroscópicamente, el tamaño de las esporas y la q esporal según he podido comprobar, aunque es un poco menor que algunas referencias en la bibliografía, entra entre los límites que he encotrado.
Una de las características que destacan es su anillo, blanco en la parte superior y lila o grisáceo por debajo
A ver si os parece que encaja bien. Un saludo.
Una de las características que destacan es su anillo, blanco en la parte superior y lila o grisáceo por debajo
A ver si os parece que encaja bien. Un saludo.
Por favor, Identificarse para unirse a la conversación.
- Jon Joseba Arnedo
-
- Fuera de línea
- Moderador
-
Menos
Más
- Mensajes: 3702
- Gracias recibidas: 3555
9 años 10 meses antes #88114
por Jon Joseba Arnedo
Respuesta de Jon Joseba Arnedo sobre el tema Lepiota cf brunneoincarnata
Aupa Hector, como buen Navarro has insistido y has dado con ella
a partir de ahora habra que animarte diciendote eso de que, a que no hay hue..... de sacar esta!

para mi que la tienes perfectamente identificada, la microscopia te da la razon y macroscopicamente ese anillo con dos colores creo que es inconfundible.
un abrazo
pd: y aupa Osasuna!
para mi que la tienes perfectamente identificada, la microscopia te da la razon y macroscopicamente ese anillo con dos colores creo que es inconfundible.
un abrazo
pd: y aupa Osasuna!
El siguiente usuario dijo gracias: Héctor
Por favor, Identificarse para unirse a la conversación.
Tiempo de carga de la página: 0.133 segundos



Foro de micología