- Foro
- Foros sobre Micología de fungipedia
- Microscopía
- Porotheleum fimbriatum (Pers.) Fr. Microscopía.
Porotheleum fimbriatum (Pers.) Fr. Microscopía.
- Josep Torres
-
Autor del tema
- Fuera de línea
- Moderador
-
Menos
Más
- Mensajes: 8746
- Gracias recibidas: 8379
5 meses 2 semanas antes - 5 meses 2 semanas antes #110700
por Josep Torres
Porotheleum fimbriatum (Pers.) Fr. Microscopía. Publicado por Josep Torres
Hola.
Un Corticial del pasado 7 de septiembre, una recogida de muestras realizada en un tiempo muy corto, pero que resultó bastante fructífera.
Porotheleum fimbriatum (Pers.) Fr
A pie de campo ya tan solo por su aspecto pensé que quizás podría tratarse de alguna especie de Anomoloma o Anomoporia, al no poder obtener esporas, para poder llegar a su identidad, opté por el análisis molecular, y los datos moleculares apuntan muy directamente al Porotheleum fimbriatum propuesto.
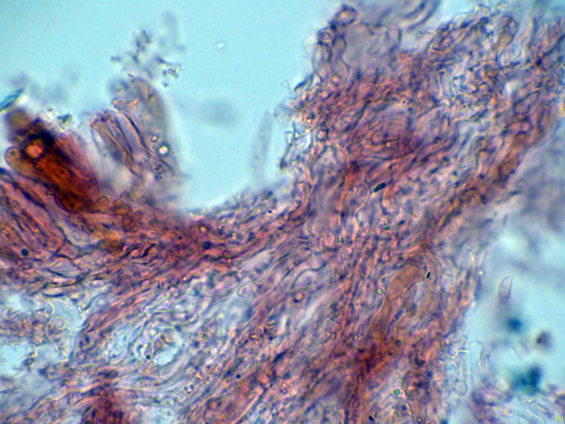
Superficie del basidioma a 20 aumentos:
Basidioma a 40 aumentos:
Borde de crecimiento a 40 aumentos:
Las hifas subiculares en solución de Rojo Congo:
Las hifas subiculares en agua:
Las hifas subiculares en solución de KOH:
Las hifas tramales en solución de Rojo Congo:
Superficie del himenio en el mismo medio:
Los basidios en solución de Rojo Congo, con unas medidas de (16.3) 16.7 - 22.4 (22.7) × (4.3) 4.9 - 6.3 (6.8) µm.:
Detalle de un basidio con su base fibulada:
Para terminar añado una imágen con el árbol filogenético:
Aquí mi especie se encuentra muy bien alineada dentro de lo que se puede considerar como Porotheleum fimbriatum, y bastante cerca a nivel molecular del Porotheleum parvulum y del Porotheleum omphaliiforme.
Saludos.
Un Corticial del pasado 7 de septiembre, una recogida de muestras realizada en un tiempo muy corto, pero que resultó bastante fructífera.
Porotheleum fimbriatum (Pers.) Fr
A pie de campo ya tan solo por su aspecto pensé que quizás podría tratarse de alguna especie de Anomoloma o Anomoporia, al no poder obtener esporas, para poder llegar a su identidad, opté por el análisis molecular, y los datos moleculares apuntan muy directamente al Porotheleum fimbriatum propuesto.
Superficie del basidioma a 20 aumentos:
Basidioma a 40 aumentos:
Borde de crecimiento a 40 aumentos:
Las hifas subiculares en solución de Rojo Congo:
Las hifas subiculares en agua:
Las hifas subiculares en solución de KOH:
Las hifas tramales en solución de Rojo Congo:
Superficie del himenio en el mismo medio:
Los basidios en solución de Rojo Congo, con unas medidas de (16.3) 16.7 - 22.4 (22.7) × (4.3) 4.9 - 6.3 (6.8) µm.:
Detalle de un basidio con su base fibulada:
Para terminar añado una imágen con el árbol filogenético:
Aquí mi especie se encuentra muy bien alineada dentro de lo que se puede considerar como Porotheleum fimbriatum, y bastante cerca a nivel molecular del Porotheleum parvulum y del Porotheleum omphaliiforme.
Saludos.
Adjuntos:
Última Edición: 5 meses 2 semanas antes por Josep Torres. Razón: Añadir información
Por favor, Identificarse para unirse a la conversación.
- Foro
- Foros sobre Micología de fungipedia
- Microscopía
- Porotheleum fimbriatum (Pers.) Fr. Microscopía.
Tiempo de carga de la página: 0.396 segundos



Foro de micología