- Foro
- Foros sobre Micología de fungipedia
- Microscopía
- Candanchú 2025: (26) Sertulicium granuliferum (Hallenb.) Spirin & Volobuev
Candanchú 2025: (26) Sertulicium granuliferum (Hallenb.) Spirin & Volobuev
- Josep Torres
-
Autor del tema
- Fuera de línea
- Moderador
-
Menos
Más
- Mensajes: 8746
- Gracias recibidas: 8379
5 meses 3 semanas antes #110688
por Josep Torres
Candanchú 2025: (26) Sertulicium granuliferum (Hallenb.) Spirin & Volobuev Publicado por Josep Torres
Hola.
Un Corticial recolectado el 16 de agosto en La Foret d'Issaux, que pertenece a un género que a día de hoy cuenta con apenas poco más de media docena de especies, en esta ocasión al igual que en las anteriores, su correcta identificación solo ha sido posible gracias a los datos moleculares:
Sertulicium granuliferum (Hallenb.) Spirin & Volobuev
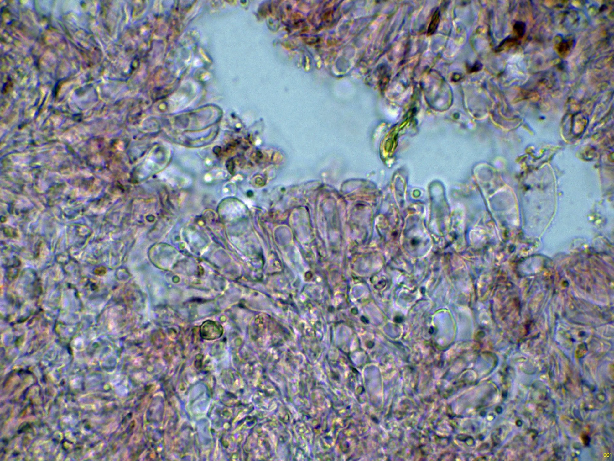
Superficie del basidioma a 20 aumentos:
Las hifas subhimeniales en solución de Rojo Congo, con solo hifas generativas fibuladas, con algunos ensanchamientos y tabiques cortos:
Las hifas subhimeniales en agua:
Las hifas subhimeniales en Reactivo de Melzer:
El himenio en solución de KOH:
Los basidios en solución de Rojo Congo, estos basidios con unas medidas de (12.7) 14.7 - 20.3 (22.9) × (6) 6.3 - 8.8 (9.3) µm.:
Los basidios en Reactivo de Melzer:
Una imágen en el mismo medio con unas esporas colgando de los esterigmas:
Esporas libres en solución de Rojo Congo diluido, y en la miniatura unas esporas en solución de KOH:
Y una composición de las esporas libres en agua:
Estas esporas libres con unas medidas en distintos medios de:
(5) 5.6 - 7.1 (8.4) × (2.5) 2.9 - 3.8 (3.9) µm
Q = (1.6) 1.7 - 2.1 (2.5) ; N = 40
Me = 6.3 × 3.3 µm ; Qe = 1.9
Para terminar, al igual que en las ocasiones anteriores, añado una imágen con el árbol filogenético:
Saludos.
Un Corticial recolectado el 16 de agosto en La Foret d'Issaux, que pertenece a un género que a día de hoy cuenta con apenas poco más de media docena de especies, en esta ocasión al igual que en las anteriores, su correcta identificación solo ha sido posible gracias a los datos moleculares:
Sertulicium granuliferum (Hallenb.) Spirin & Volobuev
Superficie del basidioma a 20 aumentos:
Las hifas subhimeniales en solución de Rojo Congo, con solo hifas generativas fibuladas, con algunos ensanchamientos y tabiques cortos:
Las hifas subhimeniales en agua:
Las hifas subhimeniales en Reactivo de Melzer:
El himenio en solución de KOH:
Los basidios en solución de Rojo Congo, estos basidios con unas medidas de (12.7) 14.7 - 20.3 (22.9) × (6) 6.3 - 8.8 (9.3) µm.:
Los basidios en Reactivo de Melzer:
Una imágen en el mismo medio con unas esporas colgando de los esterigmas:
Esporas libres en solución de Rojo Congo diluido, y en la miniatura unas esporas en solución de KOH:
Y una composición de las esporas libres en agua:
Estas esporas libres con unas medidas en distintos medios de:
(5) 5.6 - 7.1 (8.4) × (2.5) 2.9 - 3.8 (3.9) µm
Q = (1.6) 1.7 - 2.1 (2.5) ; N = 40
Me = 6.3 × 3.3 µm ; Qe = 1.9
Para terminar, al igual que en las ocasiones anteriores, añado una imágen con el árbol filogenético:
Saludos.
Adjuntos:
Por favor, Identificarse para unirse a la conversación.
- Foro
- Foros sobre Micología de fungipedia
- Microscopía
- Candanchú 2025: (26) Sertulicium granuliferum (Hallenb.) Spirin & Volobuev
Tiempo de carga de la página: 0.176 segundos



Foro de micología