- Foro
- Foros sobre Micología de fungipedia
- Microscopía
- Candanchú 2025: (23) Xylaria corniformis (Fr.) Fr.
Candanchú 2025: (23) Xylaria corniformis (Fr.) Fr.
- Josep Torres
-
Autor del tema
- Fuera de línea
- Moderador
-
Menos
Más
- Mensajes: 8746
- Gracias recibidas: 8379
7 meses 10 horas antes #110650
por Josep Torres
Hola.
Para terminar con los "cromos nuevos" una Xylaria, esta es del 16 de agosto, bajo avellanos en La Forêt d'Issaux.
Xylaria corniformis (Fr.) Fr.
Detalle de la sección del ascoma:
A destacar el esclerocio de su base:
Superficie de los peritecios a 20 aumentos:
Un par de imágenes a 40 aumentos:
Sección de los peritecios a 40 aumentos:
Los ascos en agua a 400 aumentos:
Ascos en agua a 1000 aumentos:
Los ascos en Reactivo de Melzer:
Ascosporas con hendidura germinal recta, muy difícil de observar:
Las ascosporas en Reactivo de Melzer:
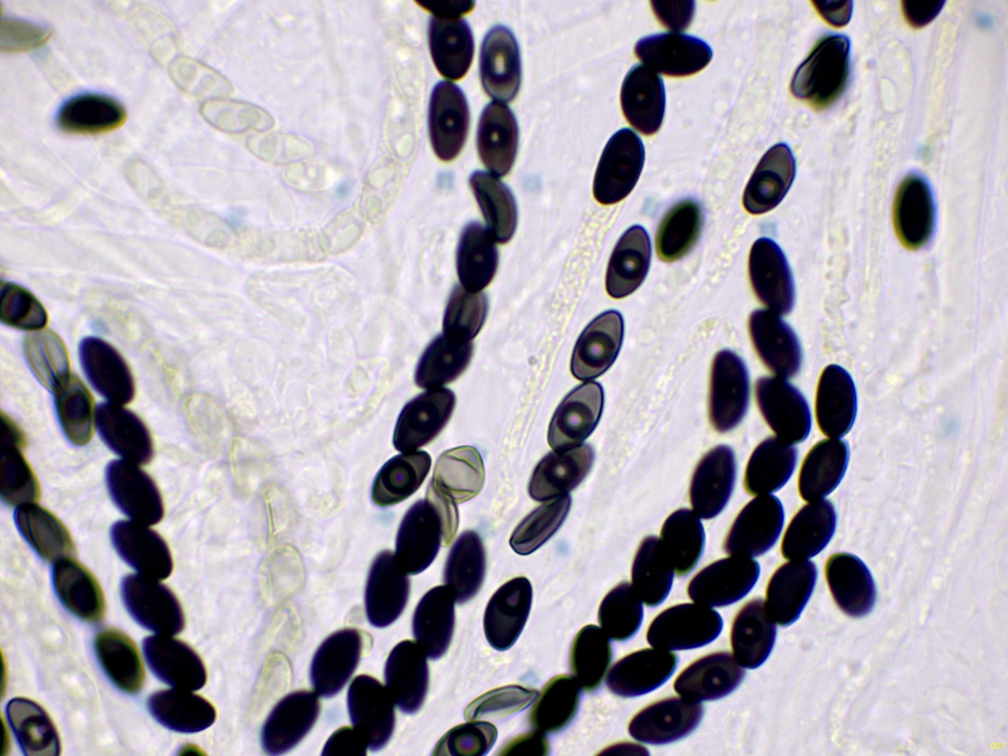
Y por último las ascosporas en agua:
Estas ascosporas obtenidas por esporulación natural y en agua con unas medidas de:
(8.4) 8.8 - 10.4 (10.8) × (5) 5.2 - 6 (6.4) µm
Q = (1.4) 1.6 - 1.9 (2.1) ; N = 44
Me = 9.6 × 5.7 µm ; Qe = 1.7
Saludos.
Para terminar con los "cromos nuevos" una Xylaria, esta es del 16 de agosto, bajo avellanos en La Forêt d'Issaux.
Xylaria corniformis (Fr.) Fr.
Detalle de la sección del ascoma:
A destacar el esclerocio de su base:
Superficie de los peritecios a 20 aumentos:
Un par de imágenes a 40 aumentos:
Sección de los peritecios a 40 aumentos:
Los ascos en agua a 400 aumentos:
Ascos en agua a 1000 aumentos:
Los ascos en Reactivo de Melzer:
Ascosporas con hendidura germinal recta, muy difícil de observar:
Las ascosporas en Reactivo de Melzer:
Y por último las ascosporas en agua:
Estas ascosporas obtenidas por esporulación natural y en agua con unas medidas de:
(8.4) 8.8 - 10.4 (10.8) × (5) 5.2 - 6 (6.4) µm
Q = (1.4) 1.6 - 1.9 (2.1) ; N = 44
Me = 9.6 × 5.7 µm ; Qe = 1.7
Saludos.
Adjuntos:
Por favor, Identificarse para unirse a la conversación.
- Javi Calvo
-
- Fuera de línea
- Spammer
-
Menos
Más
- Mensajes: 7009
- Gracias recibidas: 2955
6 meses 1 semana antes #110677
por Javi Calvo
Respuesta de Javi Calvo sobre el tema Candanchú 2025: (23) Xylaria corniformis (Fr.) Fr.
Otro cromo que no tengo, resultó productiva la salida, enhorabuena por el hallazgo, un saludo artista.
El siguiente usuario dijo gracias: Josep Torres
Por favor, Identificarse para unirse a la conversación.
- Josep Torres
-
Autor del tema
- Fuera de línea
- Moderador
-
Menos
Más
- Mensajes: 8746
- Gracias recibidas: 8379
6 meses 1 semana antes #110679
por Josep Torres
Respuesta de Josep Torres sobre el tema Candanchú 2025: (23) Xylaria corniformis (Fr.) Fr.
Por favor, Identificarse para unirse a la conversación.
- Foro
- Foros sobre Micología de fungipedia
- Microscopía
- Candanchú 2025: (23) Xylaria corniformis (Fr.) Fr.
Tiempo de carga de la página: 0.167 segundos



Foro de micología