- Foro
- Foros sobre Micología de fungipedia
- Microscopía
- Media docena de hongos tropicales. Microscopía.
Media docena de hongos tropicales. Microscopía.
- Josep Torres
-
Autor del tema
- Fuera de línea
- Moderador
-
Menos
Más
- Mensajes: 8746
- Gracias recibidas: 8379
1 año 2 meses antes - 1 año 2 meses antes #110442
por Josep Torres
Media docena de hongos tropicales. Microscopía. Publicado por Josep Torres
Hola.
Media docena de hongos de estas últimas semanas, todos ellos fotografiados y recolectados en la República Dominicana.
El primero, un Geastrum, admito que es el primer Geastrum que veo en la Isla, la microscopía obtenida apunta al abundante Geastrum fimbriatum:
Una foto de estudio con el detalle del peristoma:
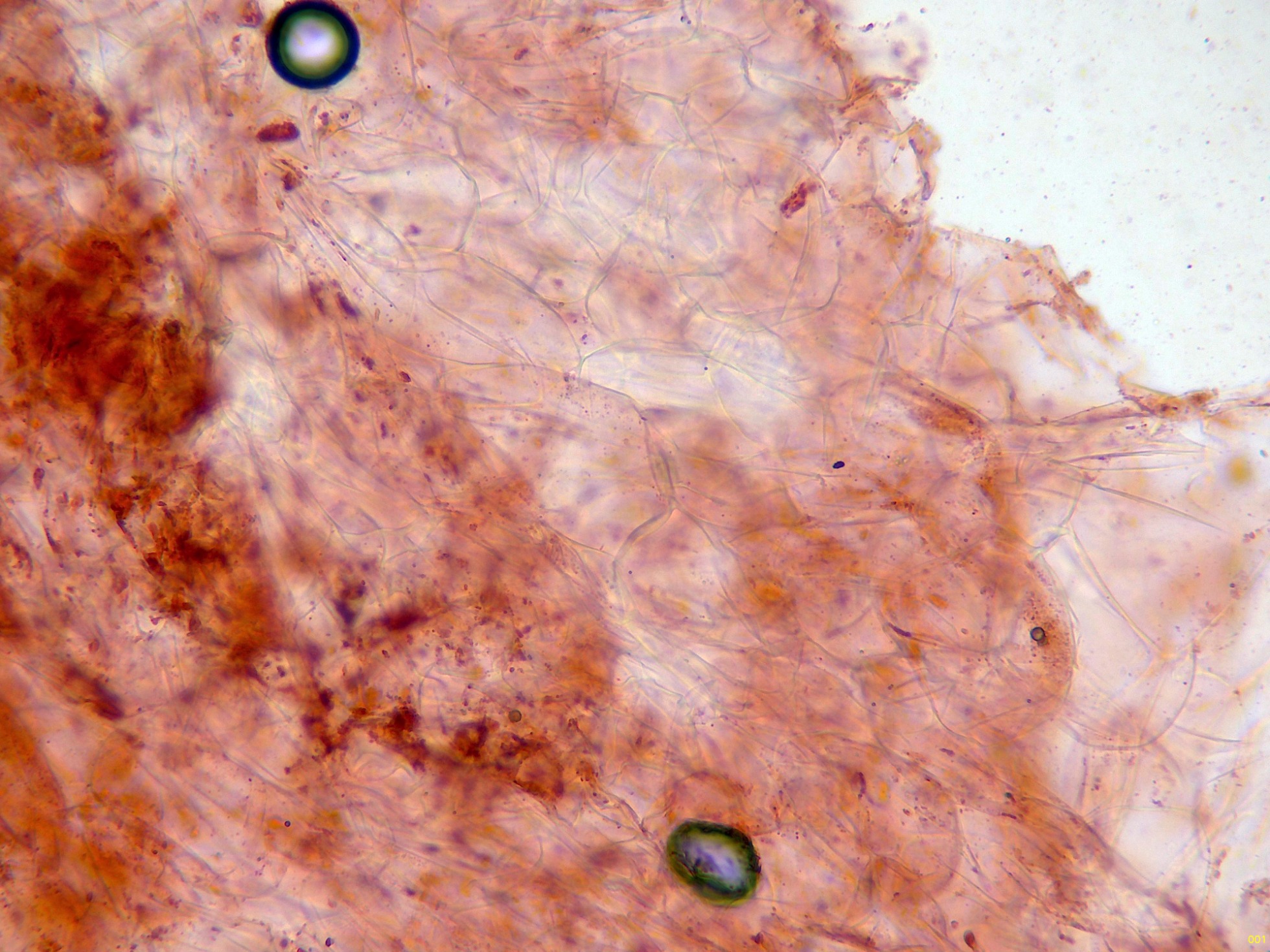
Hifas del exoperidio a 400 aumentos:
Exoperidio a 1000 aumentos:
Los hilos del capilicio:
Y las esporas en agua:
Estas esporas en agua con unas medidas de:
(3.2) 3.23 - 3.7 (3.8) × (3) 3.1 - 3.5 (3.8) µm
Q = 1 - 1.07 (1.1) ; N = 30
Me = 3.5 × 3.3 µm ; Qe = 1
Una Limacella, a la que suele aparecer por la zona se le considera como Limacella subillinita, actualmente denominada como Zhuliangomyces subillinitus.
Las hifas de la pileipellis en agua:
Las hifas tramales en reactivo de Melzer:
Arista laminar en solución de Rojo Congo al 0,5%, sin elementos diferenciados de los basidios o basidiolos:
Los basidios de la cara laminar:
Los basidios en reactivo de Melzer:
Las esporas en reactivo de Melzer, inamiloides:
Y las esporas en agua:
Estas esporas obtenidas por esporulación natural y en agua con unas medidas de:
(5.4) 5.5 - 6.1 (6.6) × (4.5) 4.7 - 5.3 (5.6) µm
Q = (1) 1.1 - 1.2 (1.3) ; N = 36
Me = 5.7 × 5 µm ; Qe = 1.1
Un Corticial de aspecto céreo común en el Continente Europeo y que ya me había encontrado anteriormente también en el Continente Americano, la Exidiopsis galzinii:
Gloeocistidios abundantes en el himenio:
Abundantes hifidios compartiendo espacio con los gloeocistidios:
Un par de imágenes de sus basidios tabicados:
Y sus esporas en agua:
En este estudio sus esporas obtenidas por esporulación natural y en agua con unas medidas de:
(7.4) 8.2 - 10.3 (11.1) × (4.5) 5.1 - 6.3 (6.9) µm
Q = (1.3) 1.4 - 1.7 (2.4) ; N = 30
Me = 9.2 × 5.8 µm ; Qe = 1.6
Y ya sin microscopía unos hongos típicos de la zona que ya había estudiado con anterioridad.
El primero un Corticial poroide que en el pasado tuve que recurrir al análisis molecular para poder llegar a su identidad, el Cyanoporus fuligo:
Su superficie poroide a 20 aumentos:
Un Clathrus tropical muy parecido al Clathrus ruber Europeo, el Clathrus crispus.
Y para terminar un hongo tóxico muy abundante por la zona y que suelo ver habitualmente en todas mis salidas, el Chlorophyllum molybdites:
Y las láminas donde ya se puede intuir bien su esporada de color verde:
Saludos.
Media docena de hongos de estas últimas semanas, todos ellos fotografiados y recolectados en la República Dominicana.
El primero, un Geastrum, admito que es el primer Geastrum que veo en la Isla, la microscopía obtenida apunta al abundante Geastrum fimbriatum:
Una foto de estudio con el detalle del peristoma:
Hifas del exoperidio a 400 aumentos:
Exoperidio a 1000 aumentos:
Los hilos del capilicio:
Y las esporas en agua:
Estas esporas en agua con unas medidas de:
(3.2) 3.23 - 3.7 (3.8) × (3) 3.1 - 3.5 (3.8) µm
Q = 1 - 1.07 (1.1) ; N = 30
Me = 3.5 × 3.3 µm ; Qe = 1
Una Limacella, a la que suele aparecer por la zona se le considera como Limacella subillinita, actualmente denominada como Zhuliangomyces subillinitus.
Las hifas de la pileipellis en agua:
Las hifas tramales en reactivo de Melzer:
Arista laminar en solución de Rojo Congo al 0,5%, sin elementos diferenciados de los basidios o basidiolos:
Los basidios de la cara laminar:
Los basidios en reactivo de Melzer:
Las esporas en reactivo de Melzer, inamiloides:
Y las esporas en agua:
Estas esporas obtenidas por esporulación natural y en agua con unas medidas de:
(5.4) 5.5 - 6.1 (6.6) × (4.5) 4.7 - 5.3 (5.6) µm
Q = (1) 1.1 - 1.2 (1.3) ; N = 36
Me = 5.7 × 5 µm ; Qe = 1.1
Un Corticial de aspecto céreo común en el Continente Europeo y que ya me había encontrado anteriormente también en el Continente Americano, la Exidiopsis galzinii:
Gloeocistidios abundantes en el himenio:
Abundantes hifidios compartiendo espacio con los gloeocistidios:
Un par de imágenes de sus basidios tabicados:
Y sus esporas en agua:
En este estudio sus esporas obtenidas por esporulación natural y en agua con unas medidas de:
(7.4) 8.2 - 10.3 (11.1) × (4.5) 5.1 - 6.3 (6.9) µm
Q = (1.3) 1.4 - 1.7 (2.4) ; N = 30
Me = 9.2 × 5.8 µm ; Qe = 1.6
Y ya sin microscopía unos hongos típicos de la zona que ya había estudiado con anterioridad.
El primero un Corticial poroide que en el pasado tuve que recurrir al análisis molecular para poder llegar a su identidad, el Cyanoporus fuligo:
Su superficie poroide a 20 aumentos:
Un Clathrus tropical muy parecido al Clathrus ruber Europeo, el Clathrus crispus.
Y para terminar un hongo tóxico muy abundante por la zona y que suelo ver habitualmente en todas mis salidas, el Chlorophyllum molybdites:
Y las láminas donde ya se puede intuir bien su esporada de color verde:
Saludos.
Adjuntos:
Última Edición: 1 año 2 meses antes por Josep Torres. Razón: Editar un salto de línea
El siguiente usuario dijo gracias: Juan Andrés Román
Por favor, Identificarse para unirse a la conversación.
- Foro
- Foros sobre Micología de fungipedia
- Microscopía
- Media docena de hongos tropicales. Microscopía.
Tiempo de carga de la página: 0.366 segundos



Foro de micología