Una desconcertante Hemimycena. Microscopía.
- Josep Torres
-
Autor del tema
- Fuera de línea
- Moderador
-
Menos
Más
- Mensajes: 8746
- Gracias recibidas: 8379
1 año 2 meses antes - 1 año 2 meses antes #110418
por Josep Torres
Una desconcertante Hemimycena. Microscopía. Publicado por Josep Torres
Hola.
Un hongo Mycenoide fotografiado y recolectado el 13 de noviembre del año pasado brotando de manera dispersa sobre el tronco de un árbol vivo, aunque lo hacía sobre una zona que aparentemente ya estaba muerta, en una zona ajardinada de una urbanización cercana al pueblo de Bávaro (Punta Cana).
Ejemplares de pequeño tamaño, el sombrero a 20 aumentos:
Detalle de las láminas a 20 aumentos:
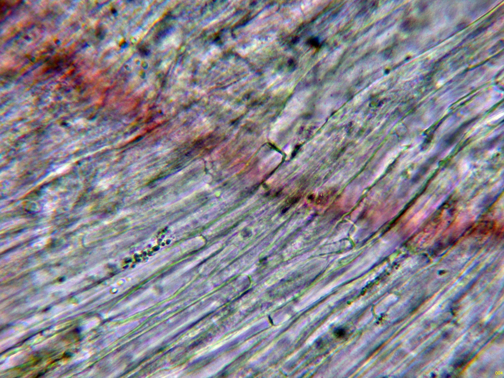
Hifas de la suprapellis, mayoritariamente entre globosas y cilíndrico elipsoidales, con una fina capa de hifas estrechas con discretas digitaciones cortas.
Hifas de la estipitipellis, dispuestas en forma paralela y fibuladas:
Las hifas tramales:
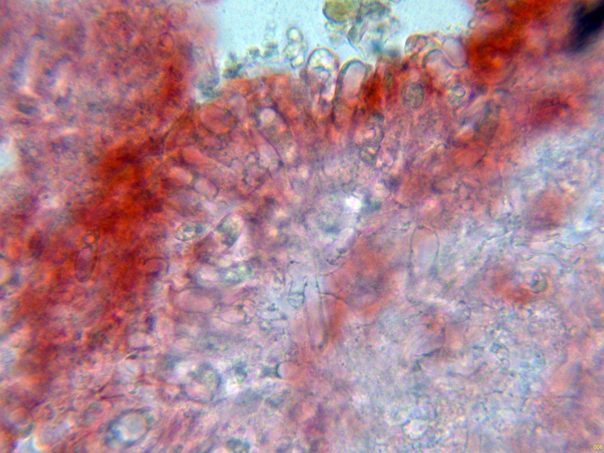
Arista laminar con pocos elementos a modo de cistidios:
Los basidios:
Unas composición de las pocas esporas libres observadas:
Estas esporas libres con unas medidas de:
(4.6) 5.1 - 8.15 (8.2) × (3.2) 3.25 - 5 (5.4) µm.
Ante la imposibilidad de llegar a ninguna propuesta convincente, opté como de costumbre el probar con el análisis molecular, la extracción del ADN salió limpia y la secuenciación del gen ITS dio como resultado con una coincidencia por cobertura del 100% y una coincidencia por identidad del 99,84% que se trataba de Hemimycena sp. MW540735.1, 99,53% Hemimycena sp. PP849889.1.Añado el árbol filogenético:
En la imagen vemos a mi Heminycena, la Hemimycena JTP 2331-24, bien alineada con ambas Hemimycenas, y además compartiendo Clado molecularmente con la Mycena acicula, y un poco más alejado de sus congéneres, la Hemimycena lactea, la Hemimycena tortuosa, la Hemimycena cucullata y la Hemimycena pseudolactea, con lo cual quizás se debería reconsiderar la opción de Hemimycena para ambas secuencias con las que coincide la de mi trabajo, en espera de que alguien cualificado para ello ponga un poco de orden a todo esto dejo archivado mi trabajo como Hemimycena sp. JTP 2331-24.
Lo desconcertante es cuando busco información de las dos secuencias más próximas a mi propuesta, la que a nivel molecular coincide con un 99,53% la PP849889.1, se corresponde con una recolecta efectuada en Florida (USA), añado una captura de pantalla donde he señalado el detalle.
Aunque Florida se encuentra de alguna manera relativamente cerca de la zona del Caribe, su clima ya no puede considerarse como tropical.
Más desconcertante es ya cuando busco información acerca de la secuencia que me da una coincidencia a nivel molecular del 99,84% la MW540735.1. En este caso vemos que la recolecta de las muestras secuenciadas se obtuvo en Finlandia, añado una captura de pantalla con la información:
El género Hemimycena está más bien circunscrito a zonas templadas, en especial en el Hemisferio Norte y me cuesta un montón el creer que pueda aparecer la misma especie en Finlandia (con un clima aparentemente muy frío) y a la vez en la República Dominicana con un clima claramente tropical, a mi anciana cabeza le cuesta mucho el poder digerir esto.
Saludos.
Un hongo Mycenoide fotografiado y recolectado el 13 de noviembre del año pasado brotando de manera dispersa sobre el tronco de un árbol vivo, aunque lo hacía sobre una zona que aparentemente ya estaba muerta, en una zona ajardinada de una urbanización cercana al pueblo de Bávaro (Punta Cana).
Ejemplares de pequeño tamaño, el sombrero a 20 aumentos:
Detalle de las láminas a 20 aumentos:
Hifas de la suprapellis, mayoritariamente entre globosas y cilíndrico elipsoidales, con una fina capa de hifas estrechas con discretas digitaciones cortas.
Hifas de la estipitipellis, dispuestas en forma paralela y fibuladas:
Las hifas tramales:
Arista laminar con pocos elementos a modo de cistidios:
Los basidios:
Unas composición de las pocas esporas libres observadas:
Estas esporas libres con unas medidas de:
(4.6) 5.1 - 8.15 (8.2) × (3.2) 3.25 - 5 (5.4) µm.
Ante la imposibilidad de llegar a ninguna propuesta convincente, opté como de costumbre el probar con el análisis molecular, la extracción del ADN salió limpia y la secuenciación del gen ITS dio como resultado con una coincidencia por cobertura del 100% y una coincidencia por identidad del 99,84% que se trataba de Hemimycena sp. MW540735.1, 99,53% Hemimycena sp. PP849889.1.Añado el árbol filogenético:
En la imagen vemos a mi Heminycena, la Hemimycena JTP 2331-24, bien alineada con ambas Hemimycenas, y además compartiendo Clado molecularmente con la Mycena acicula, y un poco más alejado de sus congéneres, la Hemimycena lactea, la Hemimycena tortuosa, la Hemimycena cucullata y la Hemimycena pseudolactea, con lo cual quizás se debería reconsiderar la opción de Hemimycena para ambas secuencias con las que coincide la de mi trabajo, en espera de que alguien cualificado para ello ponga un poco de orden a todo esto dejo archivado mi trabajo como Hemimycena sp. JTP 2331-24.
Lo desconcertante es cuando busco información de las dos secuencias más próximas a mi propuesta, la que a nivel molecular coincide con un 99,53% la PP849889.1, se corresponde con una recolecta efectuada en Florida (USA), añado una captura de pantalla donde he señalado el detalle.
Aunque Florida se encuentra de alguna manera relativamente cerca de la zona del Caribe, su clima ya no puede considerarse como tropical.
Más desconcertante es ya cuando busco información acerca de la secuencia que me da una coincidencia a nivel molecular del 99,84% la MW540735.1. En este caso vemos que la recolecta de las muestras secuenciadas se obtuvo en Finlandia, añado una captura de pantalla con la información:
El género Hemimycena está más bien circunscrito a zonas templadas, en especial en el Hemisferio Norte y me cuesta un montón el creer que pueda aparecer la misma especie en Finlandia (con un clima aparentemente muy frío) y a la vez en la República Dominicana con un clima claramente tropical, a mi anciana cabeza le cuesta mucho el poder digerir esto.
Saludos.
Adjuntos:
Última Edición: 1 año 2 meses antes por Josep Torres. Razón: Editar un salto de línea
El siguiente usuario dijo gracias: Juan Andrés Román
Por favor, Identificarse para unirse a la conversación.
- Javi Calvo
-
- Fuera de línea
- Spammer
-
Menos
Más
- Mensajes: 7009
- Gracias recibidas: 2955
1 año 2 meses antes #110427
por Javi Calvo
Respuesta de Javi Calvo sobre el tema Una desconcertante Hemimycena. Microscopía.
Una especie de lo más interesante, seguro que es nueva para la ciencia, si que guarda cierto parecido con la Hemimycena cucullata que suele ser frecuente por aquí. un saludo Josep
El siguiente usuario dijo gracias: Juan Andrés Román, Josep Torres
Por favor, Identificarse para unirse a la conversación.
- Josep Torres
-
Autor del tema
- Fuera de línea
- Moderador
-
Menos
Más
- Mensajes: 8746
- Gracias recibidas: 8379
1 año 2 meses antes #110432
por Josep Torres
Respuesta de Josep Torres sobre el tema Una desconcertante Hemimycena. Microscopía.
Gracias Javi, fíjate que la Hemimycena cucullata en el árbol filogenético que muestro, aunque en otro Clado se encuentra relativamente cerca a nivel molecular a mi propuesta, pero con una coincidencia por identidad de tan solo el 82,44% (comparando mi estudio con la secuencia MW145363.1 de la Hemimycena cucullata).
Saludos
Saludos
El siguiente usuario dijo gracias: Juan Andrés Román
Por favor, Identificarse para unirse a la conversación.
Tiempo de carga de la página: 0.248 segundos



Foro de micología