- Foro
- Foros sobre Micología de fungipedia
- Microscopía
- San Juan de la Peña 2024: Sarcodon leucopus (Pers.) Maas Geest. & Nannf.
San Juan de la Peña 2024: Sarcodon leucopus (Pers.) Maas Geest. & Nannf.
- Josep Torres
-
Autor del tema
- Fuera de línea
- Moderador
-
Menos
Más
- Mensajes: 8746
- Gracias recibidas: 8379
1 año 6 meses antes #110240
por Josep Torres
Hola a tod@s.
El primero de unos cuantos hongos nuevos para mí, recolectados el 5 de octubre pasado, en una jornada con Javier Marcos Martínez, en las inmediaciones del Monasterio Nuevo de San Juan de la Peña (Jaca).
Aunque no se considera para nada raro han tenido que pasar 10 años para poder dar con él, ya que no aparece por las zonas que suelo frecuentar, bajo pinos tenemos el:
Sarcodon leucopus (Pers.) Maas Geest. & Nannf.
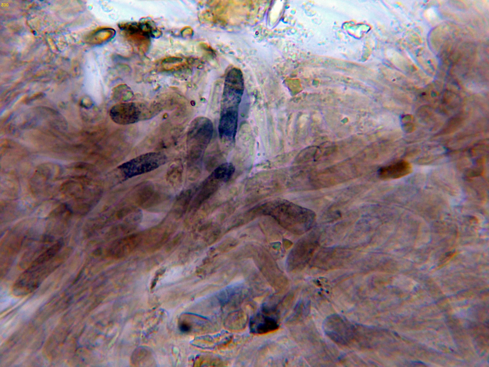
Hifas de la suprapellis en agua, con numerosas hifas terminales con formas redondeadas, fuertemente pigmentadas:
Las hifas subhimeniales en agua, fibuladas:
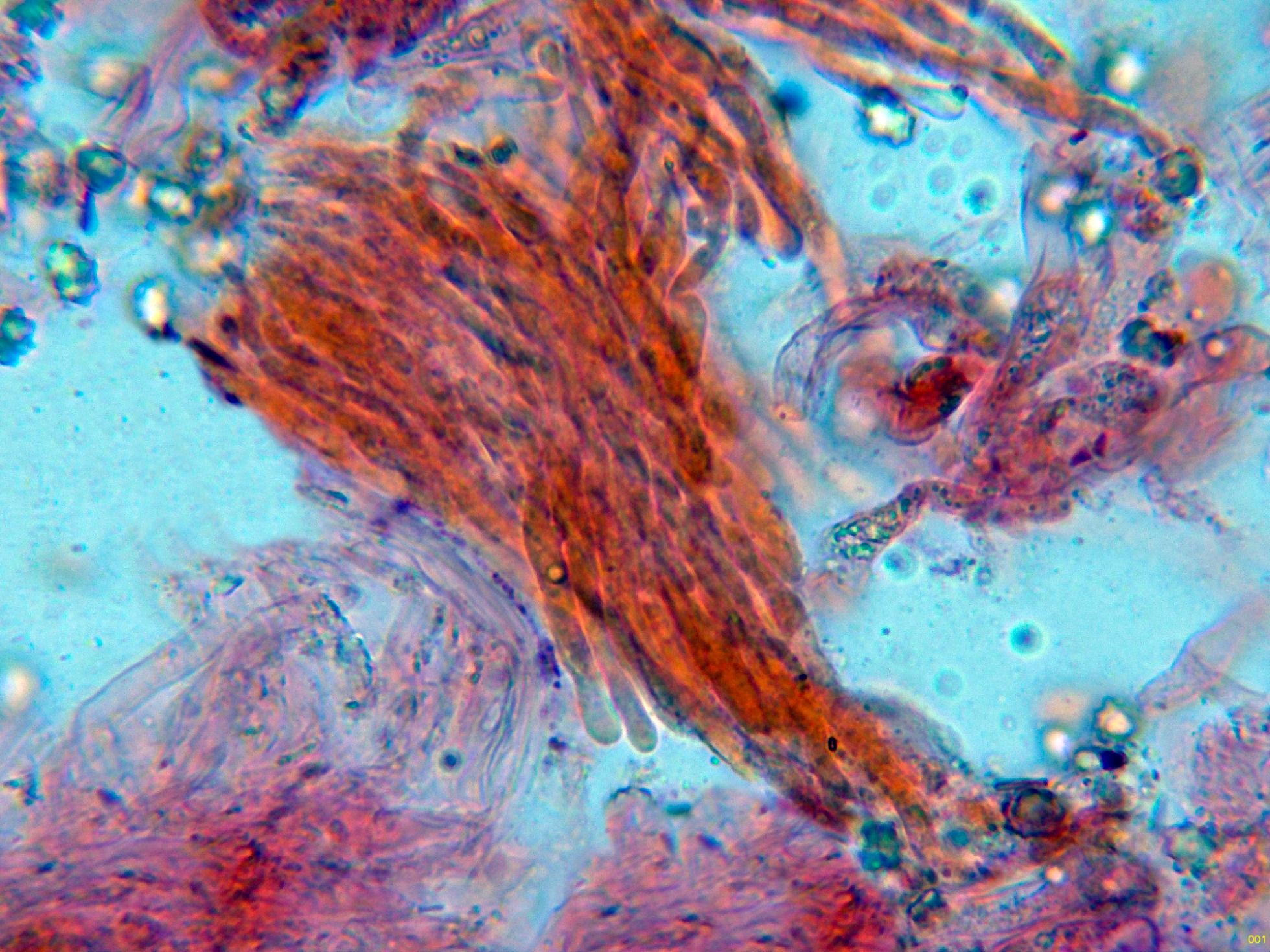
En los extremos de los aguijones presenta unas hifas terminales a modo de pelos, estériles, dispuestas paralelamente a modo de racimo:
Los basidios en solución de Rojo Congo:
Como que las imágenes salían muy sucias, decidí probar con el amoníaco (NH4OH), ya con mejores resultados.
Los basidios en amoníaco:
Las esporas en reactivo de Melzer, con un comportamiento amiloide por la presencia de almidón:
Y por último las esporas nodulosas en agua:
Estas esporas obtenidas por esporulación natural y en agua de Bezoya, con unas medidas de:
(5.7) 6.6 - 8 (8.6) × (4.3) 4.8 - 6.5 (6.8) µm
Q = (1) 1.1 - 1.5 (1.9) ; N = 40
Me = 7.2 × 5.6 µm ; Qe = 1.3
Saludos a tod@s.
El primero de unos cuantos hongos nuevos para mí, recolectados el 5 de octubre pasado, en una jornada con Javier Marcos Martínez, en las inmediaciones del Monasterio Nuevo de San Juan de la Peña (Jaca).
Aunque no se considera para nada raro han tenido que pasar 10 años para poder dar con él, ya que no aparece por las zonas que suelo frecuentar, bajo pinos tenemos el:
Sarcodon leucopus (Pers.) Maas Geest. & Nannf.
Hifas de la suprapellis en agua, con numerosas hifas terminales con formas redondeadas, fuertemente pigmentadas:
Las hifas subhimeniales en agua, fibuladas:
En los extremos de los aguijones presenta unas hifas terminales a modo de pelos, estériles, dispuestas paralelamente a modo de racimo:
Los basidios en solución de Rojo Congo:
Como que las imágenes salían muy sucias, decidí probar con el amoníaco (NH4OH), ya con mejores resultados.
Los basidios en amoníaco:
Las esporas en reactivo de Melzer, con un comportamiento amiloide por la presencia de almidón:
Y por último las esporas nodulosas en agua:
Estas esporas obtenidas por esporulación natural y en agua de Bezoya, con unas medidas de:
(5.7) 6.6 - 8 (8.6) × (4.3) 4.8 - 6.5 (6.8) µm
Q = (1) 1.1 - 1.5 (1.9) ; N = 40
Me = 7.2 × 5.6 µm ; Qe = 1.3
Saludos a tod@s.
Adjuntos:
Por favor, Identificarse para unirse a la conversación.
- Foro
- Foros sobre Micología de fungipedia
- Microscopía
- San Juan de la Peña 2024: Sarcodon leucopus (Pers.) Maas Geest. & Nannf.
Tiempo de carga de la página: 0.143 segundos



Foro de micología