- Foro
- Foros sobre Micología de fungipedia
- Microscopía
- Peralejos de las Truchas: Gloiothele citrina (Pers.) Ginns & G.W. Freeman
Peralejos de las Truchas: Gloiothele citrina (Pers.) Ginns & G.W. Freeman
- Josep Torres
-
Autor del tema
- Fuera de línea
- Moderador
-
Menos
Más
- Mensajes: 8746
- Gracias recibidas: 8379
1 año 6 meses antes #110219
por Josep Torres
Peralejos de las Truchas: Gloiothele citrina (Pers.) Ginns & G.W. Freeman Publicado por Josep Torres
Hola a tod@s.
Un Corticial propio de coníferas, que aunque lo conocía desde muchos años atrás, no me lo había encontrado hasta ahora, y curiosamente me lo encuentro con una semana de diferencia y en dos sitios muy alejados entre sí, la
Gloiothele citrina (Pers.) Ginns & G.W. Freeman
Syn: Vesiculomyces citrinus y Gloeocistidiellum citrinum
Estas dos primeras imágenes pertenecen a una recogida de muestras el 28 de septiembre en Peralejos de las Truchas (Guadalajara).
Y estas otras imágenes son del 5 de octubre, tomadas en un punto cercano al Monasterio Nuevo de San Juan de la Peña (Jaca) Huesca, en ambos casos bajo Pinus sylvestris:
La superficie a 20 aumentos:
La sección del basidioma a 40 aumentos:
La microscopía que viene a continuación se corresponde indistintamente a ambas.
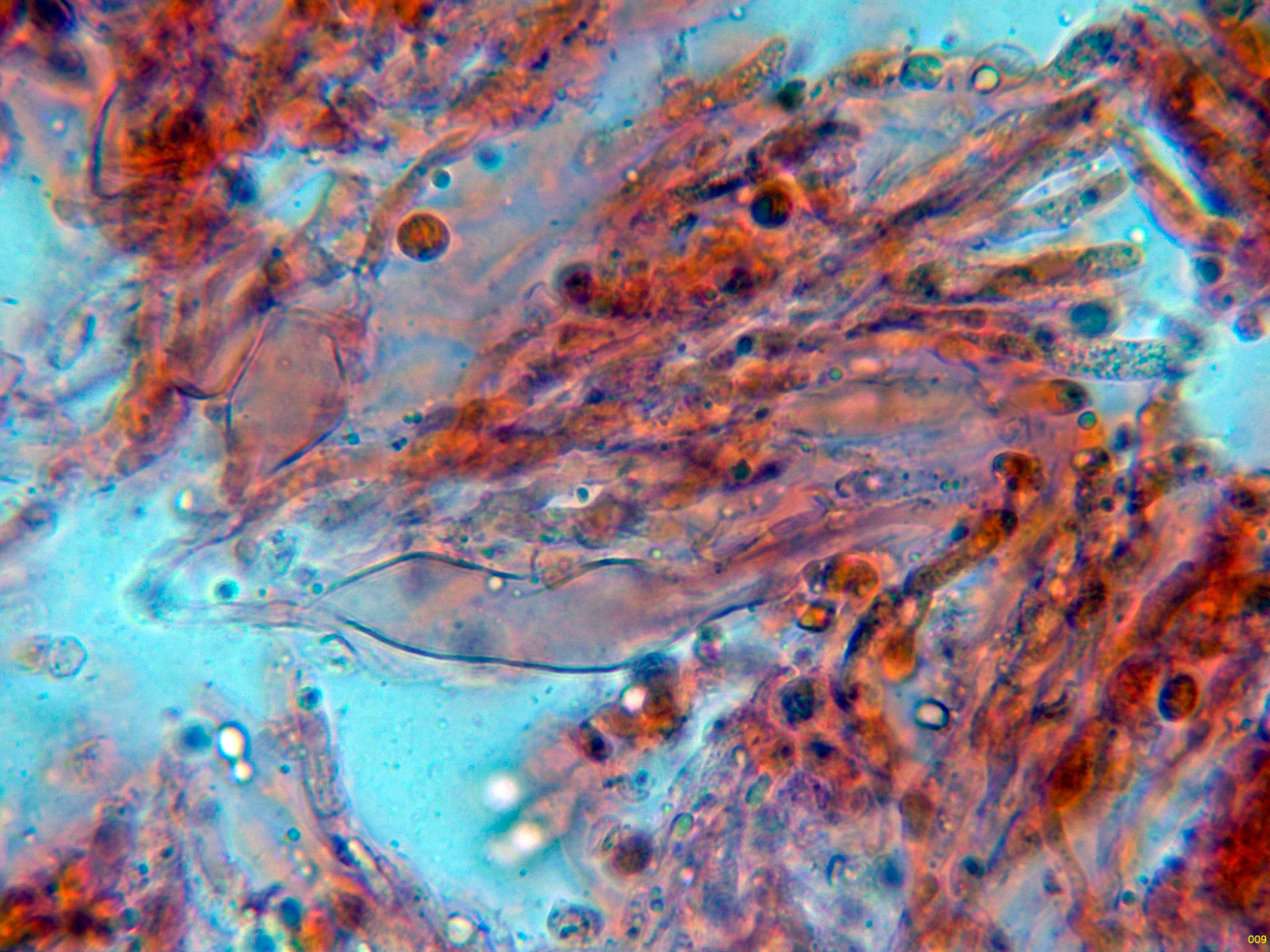
Las hifas subiculares que se corresponden a un sistema hifal monomítico con hifas estrechas, septadas y sin fíbulas.
Gloeocistidios traslúcidos, fusiformes, algunos de ellos vesiculosos, muy ensanchados en la base.
Un gloeocistidio en agua:
Los basidios con unas medidas de (18.1) 18.6 - 26.87 (26.9) × (3) 4.6 - 7.1 (7.3) µm:
Los basidios y las esporas en reactivo de Melzer, con ligera reacción amiloide:
Y por último un par de imágenes de las esporas en agua:
Estas esporas obtenidas por esporulación natural y en agua con unas medidas de:
(4.9) 5.1 - 6.5 (7) × (4.4) 4.7 - 5.9 (6.9) µm
Q = 1 - 1.2 (1.3) ; N = 40
Me = 5.9 × 5.4 µm ; Qe = 1.1
En la recogida de muestras de Peralejos de las Truchas no pude obtener esporas por medio de la esporulación natural por lo que me tuve que conformar con medir las esporas libres, estas esporas con unas medidas de:
(4.5) 5.1 - 6.06 (6.1) × (3.9) 4.7 - 5.7 (5.8) µm
Q = 1 - 1.1 (1.2) ; N = 40
Me = 5.6 × 5.2 µm ; Qe = 1.1
Observaciones: La Gloithele citrina estaba incluida dentro del género Gloeocystidiellum, aunque era la única del género que presentaba cistidios traslúcidos, por este motivo en 1977 Haagstroóm creó el nuevo género de Vesiculomyces, un género por aquel entonces monoespecífico, al que se le fueron añadiendo nuevos taxones, a partir de 1997 la Vesiculomyces citrina se reubicó dentro del género Gloiothele como Gloiothele citrina.
Saludos a tod@s.
Un Corticial propio de coníferas, que aunque lo conocía desde muchos años atrás, no me lo había encontrado hasta ahora, y curiosamente me lo encuentro con una semana de diferencia y en dos sitios muy alejados entre sí, la
Gloiothele citrina (Pers.) Ginns & G.W. Freeman
Syn: Vesiculomyces citrinus y Gloeocistidiellum citrinum
Estas dos primeras imágenes pertenecen a una recogida de muestras el 28 de septiembre en Peralejos de las Truchas (Guadalajara).
Y estas otras imágenes son del 5 de octubre, tomadas en un punto cercano al Monasterio Nuevo de San Juan de la Peña (Jaca) Huesca, en ambos casos bajo Pinus sylvestris:
La superficie a 20 aumentos:
La sección del basidioma a 40 aumentos:
La microscopía que viene a continuación se corresponde indistintamente a ambas.
Las hifas subiculares que se corresponden a un sistema hifal monomítico con hifas estrechas, septadas y sin fíbulas.
Gloeocistidios traslúcidos, fusiformes, algunos de ellos vesiculosos, muy ensanchados en la base.
Un gloeocistidio en agua:
Los basidios con unas medidas de (18.1) 18.6 - 26.87 (26.9) × (3) 4.6 - 7.1 (7.3) µm:
Los basidios y las esporas en reactivo de Melzer, con ligera reacción amiloide:
Y por último un par de imágenes de las esporas en agua:
Estas esporas obtenidas por esporulación natural y en agua con unas medidas de:
(4.9) 5.1 - 6.5 (7) × (4.4) 4.7 - 5.9 (6.9) µm
Q = 1 - 1.2 (1.3) ; N = 40
Me = 5.9 × 5.4 µm ; Qe = 1.1
En la recogida de muestras de Peralejos de las Truchas no pude obtener esporas por medio de la esporulación natural por lo que me tuve que conformar con medir las esporas libres, estas esporas con unas medidas de:
(4.5) 5.1 - 6.06 (6.1) × (3.9) 4.7 - 5.7 (5.8) µm
Q = 1 - 1.1 (1.2) ; N = 40
Me = 5.6 × 5.2 µm ; Qe = 1.1
Observaciones: La Gloithele citrina estaba incluida dentro del género Gloeocystidiellum, aunque era la única del género que presentaba cistidios traslúcidos, por este motivo en 1977 Haagstroóm creó el nuevo género de Vesiculomyces, un género por aquel entonces monoespecífico, al que se le fueron añadiendo nuevos taxones, a partir de 1997 la Vesiculomyces citrina se reubicó dentro del género Gloiothele como Gloiothele citrina.
Saludos a tod@s.
Adjuntos:
Por favor, Identificarse para unirse a la conversación.
- Foro
- Foros sobre Micología de fungipedia
- Microscopía
- Peralejos de las Truchas: Gloiothele citrina (Pers.) Ginns & G.W. Freeman
Tiempo de carga de la página: 0.192 segundos



Foro de micología