- Foro
- Foros sobre Micología de fungipedia
- Microscopía
- Phlebia tremellosa (Schrad.) Nakasone & Burds. Microscopía.
Phlebia tremellosa (Schrad.) Nakasone & Burds. Microscopía.
- Josep Torres
-
Autor del tema
- Fuera de línea
- Moderador
-
Menos
Más
- Mensajes: 8746
- Gracias recibidas: 8379
1 año 7 meses antes #110139
por Josep Torres
Hola a tod@s.
Un hongo que si bien ya me había encontrado en alguna ocasión muchos años atrás, no disponía de su microscopía.
Phlebia tremellosa (Schrad.) Nakasone & Burds.
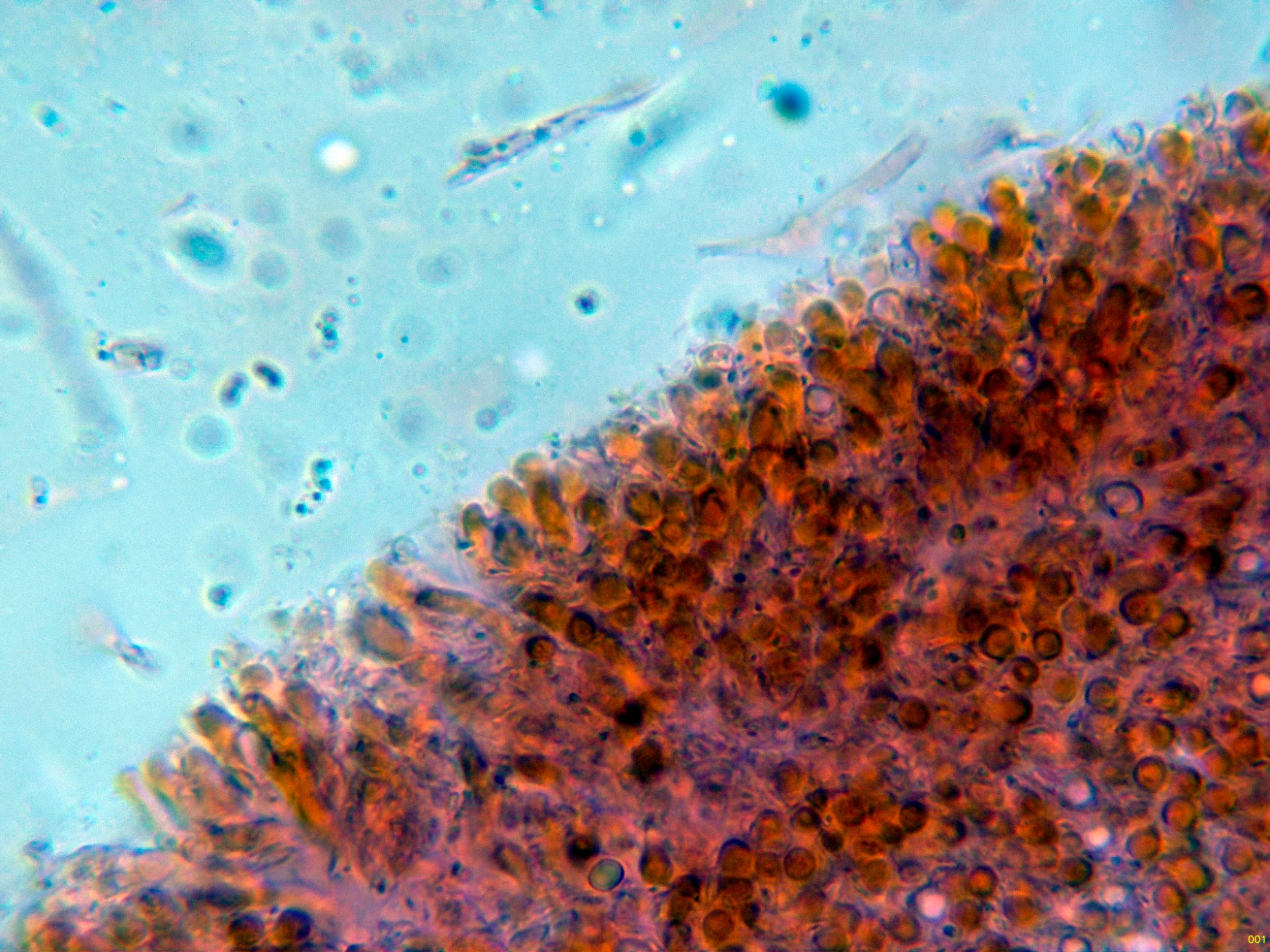
Los basidiomas sobre el sustrato, con el himenio meruloide:
El himenio a 20 aumentos:
Detalle del borde de crecimiento a 20 aumentos.
Hifas del contexto, separadas por gelificación y fibuladas:
Cistidios muy escasos y dispersos que sobresalen considerablemente por encima del nivel de los basidios:
Los basidios en solución de Rojo Congo:
En algunos de estos basidios se pueden observar sus 4 esterigmas, tetraspóricos.
Como veía mucha suciedad en las muestras, probé con el KOH, tampoco mejoró mucho.
Los basidios en solución de KOH.
Y por último las esporas en agua:
Estas esporas obtenidas por esporulación natural y en agua con unas medidas de:
(3.5) 3.6 - 4.2 (4.5) × (1.5) 1.6 - 1.9 (2) µm
Q = (1.9) 2 - 2.4 (2.6) ; N = 40
Me = 3.9 × 1.8 µm ; Qe = 2.2
Saludos a tod@s.
Un hongo que si bien ya me había encontrado en alguna ocasión muchos años atrás, no disponía de su microscopía.
Phlebia tremellosa (Schrad.) Nakasone & Burds.
Los basidiomas sobre el sustrato, con el himenio meruloide:
El himenio a 20 aumentos:
Detalle del borde de crecimiento a 20 aumentos.
Hifas del contexto, separadas por gelificación y fibuladas:
Cistidios muy escasos y dispersos que sobresalen considerablemente por encima del nivel de los basidios:
Los basidios en solución de Rojo Congo:
En algunos de estos basidios se pueden observar sus 4 esterigmas, tetraspóricos.
Como veía mucha suciedad en las muestras, probé con el KOH, tampoco mejoró mucho.
Los basidios en solución de KOH.
Y por último las esporas en agua:
Estas esporas obtenidas por esporulación natural y en agua con unas medidas de:
(3.5) 3.6 - 4.2 (4.5) × (1.5) 1.6 - 1.9 (2) µm
Q = (1.9) 2 - 2.4 (2.6) ; N = 40
Me = 3.9 × 1.8 µm ; Qe = 2.2
Saludos a tod@s.
Adjuntos:
El siguiente usuario dijo gracias: Juan Andrés Román, javier
Por favor, Identificarse para unirse a la conversación.
- Juan Andrés Román
-
- Fuera de línea
- Spammer
-
Menos
Más
- Mensajes: 2558
- Gracias recibidas: 2756
1 año 6 meses antes #110178
por Juan Andrés Román
Respuesta de Juan Andrés Román sobre el tema Phlebia tremellosa (Schrad.) Nakasone & Burds. Microscopía.
Buen trabajo Josep....................................Saludos.
El siguiente usuario dijo gracias: Josep Torres
Por favor, Identificarse para unirse a la conversación.
- Foro
- Foros sobre Micología de fungipedia
- Microscopía
- Phlebia tremellosa (Schrad.) Nakasone & Burds. Microscopía.
Tiempo de carga de la página: 0.147 segundos



Foro de micología