- Foro
- Foros sobre Micología de fungipedia
- Microscopía
- Media docena del domingo 26 de mayo. Microscopía.
Media docena del domingo 26 de mayo. Microscopía.
- Josep Torres
-
Autor del tema
- Fuera de línea
- Moderador
-
Menos
Más
- Mensajes: 8746
- Gracias recibidas: 8379
1 año 9 meses antes - 1 año 9 meses antes #110053
por Josep Torres
Hola a tod@s.
Un resto de hongos que tenía pendientes, correspondientes a la recogida de muestras del 26 de mayo pasado.
Una Antrodia, segundo estudio que realizo a la especie, siguiendo las Claves del trabajo de Ryvarden, me conducen irremediablemente a la Antrodia sinuosa.
Un par de ampliaciones de la superficie poroide a 20 aumentos.
La sección del basidioma a 40 aumentos.
Las hifas subhimeniales en solución de Rojo Congo.
Las hifas subhimeniales en Reactivo de Melzer.
Las hifas en solución de KOH.
Basidios muy hundidos en el himenio y de muy difícil observación, aunque afortunadamente estos basidios se tiñen con el Rojo Congo.
Los basidios:
Los basidios en Reactivo de Melzer.
Las esporas en agua:
Estas esporas obtenidas por esporulación natural y en agua con unas medidas de:
(4.3) 4.6 - 5.6 (6.2) × (1.4) 1.6 - 1.9 (2) µm
Q = (2.4) 2.7 - 3.3 (3.8) ; N = 27
Me = 5.1 × 1.8 µm ; Qe = 2.9
Un Corticial, este brotando sobre la superficie de un tronco tumbado del suelo de Pinus sylvestris, al lado de unos pequeños apotecios de Hyalocypha aureliella = Eupezizella aureliella, aunque no he podido obtener esporas, todos los datos obtenidos apuntan a Athelopsis, considerando las medidas de los basidios la más probable sería la Athelopsis glaucina, ante la duda queda de momento a falta de nuevos estudios como Athelopsis aff. glaucina.
La superficie del basidioma a 20 aumentos:
Hifas subhimeniales escasas, estas hifas fibuladas.
Los basidios observados, entre piriformes o con forma de vejiga, entiendo que inmaduros, con unas medidas en Rojo Congo de (11.4) 12.1 - 15.5 (16.6) × (5) 5.5 - 6.5 (7.9) µm.
Uno de estos basidios con su base fibulada:
Al parecer los basidiomas de la Athelopsis glaucina, permanecerían durante todo el año sobre el sustrato, pero solo madurarían en algunos determinados momentos.
Atendiendo a la información encontrada en el documento "The genus Athelopsis (Aphyllophorales, Corticiaceae) in Finland", se atribuyen unas medidas para los basidios de la Athelopsis glaucina de 10–14 x 5–6 μm, unas medidas ligeramente por debajo en especial a lo que concierne a la anchura, entiendo que al madurar tienden a estrecharse, añado una imágen del mismo documento, con un dibujo de los basidios en diferentes etapas de desarrollo, y en el círculo la imágen que se correspondería con los basidios del presente estudio.
No lejos de la anterior, y no pasando ya por su mejor momento tenemos la Coniochaeta malacotricha.
Los ascomas a 20 aumentos.
Un par de imágenes a 40 aumentos.
Los pelos externos a 400 aumentos.
Los pelos a 1000 aumentos.
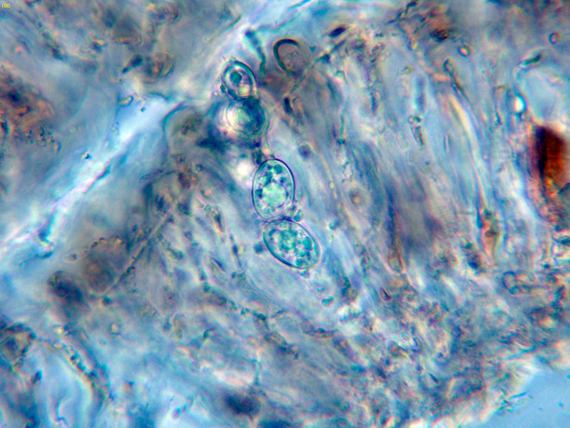
Un asco en agua:
Un fusionado de las pocas esporas observadas:
Estas esporas con unas medidas de (8.6) 8.64 - 9.7 (10.2) × (6.8) 7.4 - 9.1 (9.3) µm.
Una de las Orbiliaceae más comunes y que más veces me he encontrado, la Hyalorbilia inflatula.
Un par de ampliaciones de los apotecios a 20 aumentos:
El excípulo ectal en solución de Rojo Congo:
El himenio con los ascos y por encima de estos la capa de gel congófila que los cubre, típica del género.
Base de los ascos con uncínulos, este detalle separa el género Hialorbilia del género Orbilia (sin uncínulos).
Las esporas libres observadas en las muestras en agua:
Estas esporas con unas medidas de:
(5.9) 6 - 6.4 (6.7) × (0.9) 0.91 - 1.17 (1.2) µm
Q = (4.9) 5.3 - 6.9 (7.2) ; N = 19
Me = 6.2 × 1 µm ; Qe = 6.1
Otro Corticial, bastante común, cuarto estudio que realizo a la especie, todo apunta al Lyomyces crustosus.
Superficie del basidioma a 20 aumentos, con abundantes acúleos muy diminutos.
Basidioma de muy pequeño grosor, una imágen de la sección a 40 aumentos:
Las hifas subiculares en agua:
El himenio en agua, con hifas terminales a modo de cistidios lanceoladas:
Esos cistidios en solución de Rojo Congo:
El himenio en reactivo de Melzer:
Los basidios en solución de Rojo Congo:
Las esporas obtenidas por esporulación natural en Reactivo de Melzer, inamiloides:
Y la esporas obtenidas por esporulación natural y en agua:
Estas esporas en agua con unas medidas de:
(5.9) 6.2 - 6.9 (7.1) × (3.4) 3.5 - 3.9 (4.1) µm
Q = (1.6) 1.64 - 1.9 (2) ; N = 40
Me = 6.6 × 3.7 µm ; Qe = 1.8
Y ya para finalizar, un líquen sobre la corteza de un pequeño tronco de roble, me sorprendieron los grandes apotecios que presentaba, por eso me llevé una muestra, la Parmelia quercina, actualmente Parmelina quercina.
El himenio a 400 aumentos:
Los ascos:
Las paráfisis:
Y las esporas:
Estas esporas con unas medidas de (13.8) 14.2 - 16.3 (16.8) × (8.2) 8.3 - 10.4 (10.6) µm., medidas por encima de las que se corresponderían con la especie.
Saludos a tod@s.
Un resto de hongos que tenía pendientes, correspondientes a la recogida de muestras del 26 de mayo pasado.
Una Antrodia, segundo estudio que realizo a la especie, siguiendo las Claves del trabajo de Ryvarden, me conducen irremediablemente a la Antrodia sinuosa.
Un par de ampliaciones de la superficie poroide a 20 aumentos.
La sección del basidioma a 40 aumentos.
Las hifas subhimeniales en solución de Rojo Congo.
Las hifas subhimeniales en Reactivo de Melzer.
Las hifas en solución de KOH.
Basidios muy hundidos en el himenio y de muy difícil observación, aunque afortunadamente estos basidios se tiñen con el Rojo Congo.
Los basidios:
Los basidios en Reactivo de Melzer.
Las esporas en agua:
Estas esporas obtenidas por esporulación natural y en agua con unas medidas de:
(4.3) 4.6 - 5.6 (6.2) × (1.4) 1.6 - 1.9 (2) µm
Q = (2.4) 2.7 - 3.3 (3.8) ; N = 27
Me = 5.1 × 1.8 µm ; Qe = 2.9
Un Corticial, este brotando sobre la superficie de un tronco tumbado del suelo de Pinus sylvestris, al lado de unos pequeños apotecios de Hyalocypha aureliella = Eupezizella aureliella, aunque no he podido obtener esporas, todos los datos obtenidos apuntan a Athelopsis, considerando las medidas de los basidios la más probable sería la Athelopsis glaucina, ante la duda queda de momento a falta de nuevos estudios como Athelopsis aff. glaucina.
La superficie del basidioma a 20 aumentos:
Hifas subhimeniales escasas, estas hifas fibuladas.
Los basidios observados, entre piriformes o con forma de vejiga, entiendo que inmaduros, con unas medidas en Rojo Congo de (11.4) 12.1 - 15.5 (16.6) × (5) 5.5 - 6.5 (7.9) µm.
Uno de estos basidios con su base fibulada:
Al parecer los basidiomas de la Athelopsis glaucina, permanecerían durante todo el año sobre el sustrato, pero solo madurarían en algunos determinados momentos.
Atendiendo a la información encontrada en el documento "The genus Athelopsis (Aphyllophorales, Corticiaceae) in Finland", se atribuyen unas medidas para los basidios de la Athelopsis glaucina de 10–14 x 5–6 μm, unas medidas ligeramente por debajo en especial a lo que concierne a la anchura, entiendo que al madurar tienden a estrecharse, añado una imágen del mismo documento, con un dibujo de los basidios en diferentes etapas de desarrollo, y en el círculo la imágen que se correspondería con los basidios del presente estudio.
No lejos de la anterior, y no pasando ya por su mejor momento tenemos la Coniochaeta malacotricha.
Los ascomas a 20 aumentos.
Un par de imágenes a 40 aumentos.
Los pelos externos a 400 aumentos.
Los pelos a 1000 aumentos.
Un asco en agua:
Un fusionado de las pocas esporas observadas:
Estas esporas con unas medidas de (8.6) 8.64 - 9.7 (10.2) × (6.8) 7.4 - 9.1 (9.3) µm.
Una de las Orbiliaceae más comunes y que más veces me he encontrado, la Hyalorbilia inflatula.
Un par de ampliaciones de los apotecios a 20 aumentos:
El excípulo ectal en solución de Rojo Congo:
El himenio con los ascos y por encima de estos la capa de gel congófila que los cubre, típica del género.
Base de los ascos con uncínulos, este detalle separa el género Hialorbilia del género Orbilia (sin uncínulos).
Las esporas libres observadas en las muestras en agua:
Estas esporas con unas medidas de:
(5.9) 6 - 6.4 (6.7) × (0.9) 0.91 - 1.17 (1.2) µm
Q = (4.9) 5.3 - 6.9 (7.2) ; N = 19
Me = 6.2 × 1 µm ; Qe = 6.1
Otro Corticial, bastante común, cuarto estudio que realizo a la especie, todo apunta al Lyomyces crustosus.
Superficie del basidioma a 20 aumentos, con abundantes acúleos muy diminutos.
Basidioma de muy pequeño grosor, una imágen de la sección a 40 aumentos:
Las hifas subiculares en agua:
El himenio en agua, con hifas terminales a modo de cistidios lanceoladas:
Esos cistidios en solución de Rojo Congo:
El himenio en reactivo de Melzer:
Los basidios en solución de Rojo Congo:
Las esporas obtenidas por esporulación natural en Reactivo de Melzer, inamiloides:
Y la esporas obtenidas por esporulación natural y en agua:
Estas esporas en agua con unas medidas de:
(5.9) 6.2 - 6.9 (7.1) × (3.4) 3.5 - 3.9 (4.1) µm
Q = (1.6) 1.64 - 1.9 (2) ; N = 40
Me = 6.6 × 3.7 µm ; Qe = 1.8
Y ya para finalizar, un líquen sobre la corteza de un pequeño tronco de roble, me sorprendieron los grandes apotecios que presentaba, por eso me llevé una muestra, la Parmelia quercina, actualmente Parmelina quercina.
El himenio a 400 aumentos:
Los ascos:
Las paráfisis:
Y las esporas:
Estas esporas con unas medidas de (13.8) 14.2 - 16.3 (16.8) × (8.2) 8.3 - 10.4 (10.6) µm., medidas por encima de las que se corresponderían con la especie.
Saludos a tod@s.
Adjuntos:
Última Edición: 1 año 9 meses antes por Josep Torres. Razón: Editar un salto de línea
El siguiente usuario dijo gracias: Juan Andrés Román
Por favor, Identificarse para unirse a la conversación.
- Juan Andrés Román
-
- Fuera de línea
- Spammer
-
Menos
Más
- Mensajes: 2558
- Gracias recibidas: 2756
1 año 8 meses antes #110074
por Juan Andrés Román
Respuesta de Juan Andrés Román sobre el tema Media docena del domingo 26 de mayo. Microscopía.
El siguiente usuario dijo gracias: Josep Torres
Por favor, Identificarse para unirse a la conversación.
- Josep Torres
-
Autor del tema
- Fuera de línea
- Moderador
-
Menos
Más
- Mensajes: 8746
- Gracias recibidas: 8379
1 año 8 meses antes #110082
por Josep Torres
Respuesta de Josep Torres sobre el tema Media docena del domingo 26 de mayo. Microscopía.
Gracias Juan Andrés, lástima que a estas alturas ya la mayoría me salen repetidos.
Un abrazo.
Un abrazo.
Por favor, Identificarse para unirse a la conversación.
- Foro
- Foros sobre Micología de fungipedia
- Microscopía
- Media docena del domingo 26 de mayo. Microscopía.
Tiempo de carga de la página: 0.476 segundos



Foro de micología