- Foro
- Foros sobre Micología de fungipedia
- Microscopía
- Salida de primavera de Asmicas: Agaricus litoralis (Wakef. & A. Pearson) Pilát
Salida de primavera de Asmicas: Agaricus litoralis (Wakef. & A. Pearson) Pilát
- Josep Torres
-
Autor del tema
- Fuera de línea
- Moderador
-
Menos
Más
- Mensajes: 8746
- Gracias recibidas: 8379
1 año 10 meses antes #109995
por Josep Torres
Salida de primavera de Asmicas: Agaricus litoralis (Wakef. & A. Pearson) Pilát Publicado por Josep Torres
Hola a tod@s.
Un Agaricus que tenía pendiente, recolectado con los compañeros de Asmicas por la zona de Montes Universales.
Agradecer a Cándido Sos Escudero, el que me mostrara el lugar donde brotaban y que ya en el mismo punto de recogida le pusiera ya apellido.
Agaricus litoralis (Wakef. & A. Pearson) Pilát
Varios ejemplares brotando de manera dispersa, algunos de ellos de considerable tamaño.
Una de las características del Agaricus litoralis, es el color salmón que adquiere al roce, especialmente en el pie.
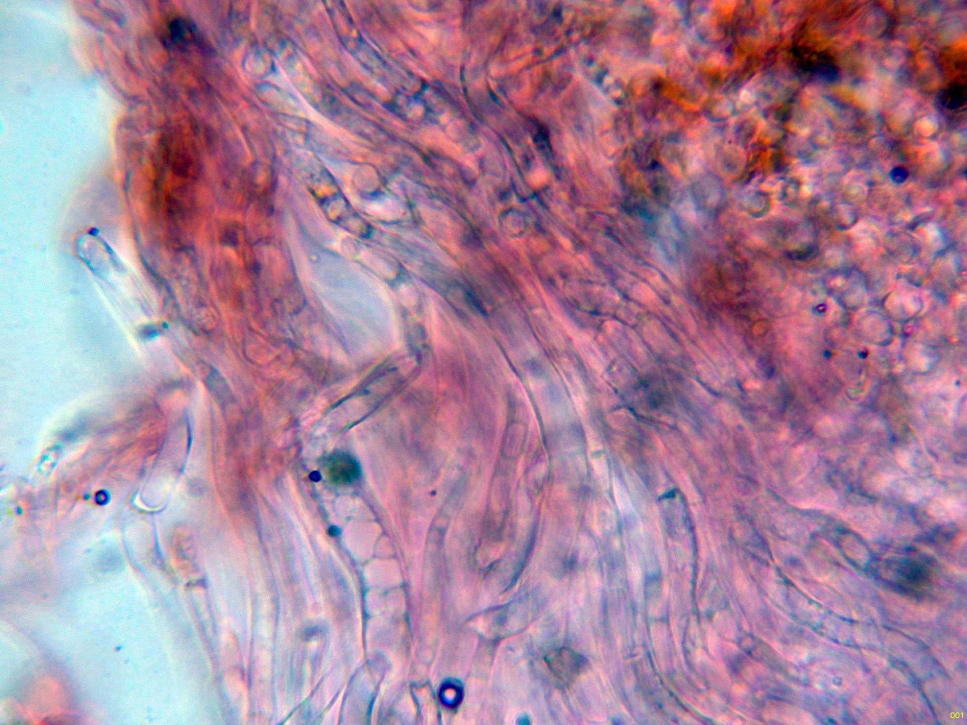
Hifas de la suprapellis filamentosa en agua, sin fíbulas.
Arista laminar con elementos terminales poco diferenciados de los basidios o basidiolos.
Hifas de la trama laminar.
Los basidios de la cara laminar.
Y las esporas obtenidas por esporulación natural y en agua.
Estas esporas en agua con unas medidas de:
(5.5) 5.9 - 6.6 (7) × 4.1 - 4.6 (4.7) µm
Q = (1.3) 1.4 - 1.5 (1.6) ; N = 36
Me = 6.3 × 4.3 µm ; Qe = 1.5
Saludos a tod@s.
Un Agaricus que tenía pendiente, recolectado con los compañeros de Asmicas por la zona de Montes Universales.
Agradecer a Cándido Sos Escudero, el que me mostrara el lugar donde brotaban y que ya en el mismo punto de recogida le pusiera ya apellido.
Agaricus litoralis (Wakef. & A. Pearson) Pilát
Varios ejemplares brotando de manera dispersa, algunos de ellos de considerable tamaño.
Una de las características del Agaricus litoralis, es el color salmón que adquiere al roce, especialmente en el pie.
Hifas de la suprapellis filamentosa en agua, sin fíbulas.
Arista laminar con elementos terminales poco diferenciados de los basidios o basidiolos.
Hifas de la trama laminar.
Los basidios de la cara laminar.
Y las esporas obtenidas por esporulación natural y en agua.
Estas esporas en agua con unas medidas de:
(5.5) 5.9 - 6.6 (7) × 4.1 - 4.6 (4.7) µm
Q = (1.3) 1.4 - 1.5 (1.6) ; N = 36
Me = 6.3 × 4.3 µm ; Qe = 1.5
Saludos a tod@s.
Adjuntos:
El siguiente usuario dijo gracias: Juan Andrés Román
Por favor, Identificarse para unirse a la conversación.
- Juan Andrés Román
-
- Fuera de línea
- Spammer
-
Menos
Más
- Mensajes: 2558
- Gracias recibidas: 2756
1 año 9 meses antes #110003
por Juan Andrés Román
Respuesta de Juan Andrés Román sobre el tema Salida de primavera de Asmicas: Agaricus litoralis (Wakef. & A. Pearson) Pilát
Buen trabajo el de esta vieja conocida.......................Saludos.
El siguiente usuario dijo gracias: Josep Torres
Por favor, Identificarse para unirse a la conversación.
- Josep Torres
-
Autor del tema
- Fuera de línea
- Moderador
-
Menos
Más
- Mensajes: 8746
- Gracias recibidas: 8379
1 año 9 meses antes #110011
por Josep Torres
Respuesta de Josep Torres sobre el tema Salida de primavera de Asmicas: Agaricus litoralis (Wakef. & A. Pearson) Pilát
El siguiente usuario dijo gracias: Juan Andrés Román
Por favor, Identificarse para unirse a la conversación.
- Foro
- Foros sobre Micología de fungipedia
- Microscopía
- Salida de primavera de Asmicas: Agaricus litoralis (Wakef. & A. Pearson) Pilát
Tiempo de carga de la página: 0.135 segundos



Foro de micología