Un diminuto insecto.
- Josep Torres
-
Autor del tema
- Fuera de línea
- Moderador
-
Menos
Más
- Mensajes: 8746
- Gracias recibidas: 8379
3 años 2 meses antes #108620
por Josep Torres
Un diminuto insecto. Publicado por Josep Torres
Hola a tod@s.
Como que la cosa del reino Fungi esta verdaderamente mal, cualquier cosa ya sirve para poder pasar por el micro, aunque este Foro no sea el sitio idóneo para presentar esto, lo dejo como una curiosidad.
Una pruína blanquecina con aspecto de un Corticial resupinado, sobre la superficie del tronco de una palmera viva.
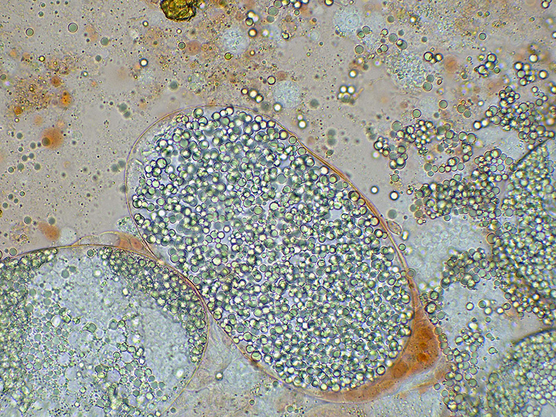
En su superficie unas estructuras irregulares amarillentas de una masa mucilaginosa que albergaba en su interior los huevos.
Los huevos al microscopio a 40 aumentos.
Los huevos a 100 aumentos.
A 400 aumentos.
A 1000 aumentos.
Aunque dentro de estos huevos no parece observarse ninguna estructura que pueda hacer pensar en el reino animal, a las pocas horas ya estaban los pequeños pulgones correteando.
A 40 aumentos.
Y por último a 40 aumentos utilizando luz indirecta.
Y ya puestos en el reino animal, una polilla gigante (unos 10 cm.) fotografiada ayer mismo, que representa un buen ejemplo de mimetismo, en el suelo parecía una hoja seca.
Aunque presentaba unos bellos colores al abrir las alas, la muy jodida no estaba dispuesta a dejarse fotografiar , se largó pronto
Saludos a tod@s.
Como que la cosa del reino Fungi esta verdaderamente mal, cualquier cosa ya sirve para poder pasar por el micro, aunque este Foro no sea el sitio idóneo para presentar esto, lo dejo como una curiosidad.
Una pruína blanquecina con aspecto de un Corticial resupinado, sobre la superficie del tronco de una palmera viva.
En su superficie unas estructuras irregulares amarillentas de una masa mucilaginosa que albergaba en su interior los huevos.
Los huevos al microscopio a 40 aumentos.
Los huevos a 100 aumentos.
A 400 aumentos.
A 1000 aumentos.
Aunque dentro de estos huevos no parece observarse ninguna estructura que pueda hacer pensar en el reino animal, a las pocas horas ya estaban los pequeños pulgones correteando.
A 40 aumentos.
Y por último a 40 aumentos utilizando luz indirecta.
Y ya puestos en el reino animal, una polilla gigante (unos 10 cm.) fotografiada ayer mismo, que representa un buen ejemplo de mimetismo, en el suelo parecía una hoja seca.
Aunque presentaba unos bellos colores al abrir las alas, la muy jodida no estaba dispuesta a dejarse fotografiar , se largó pronto
Saludos a tod@s.
Adjuntos:
El siguiente usuario dijo gracias: Juan Andrés Román, Juan
Por favor, Identificarse para unirse a la conversación.
- david
-
- Fuera de línea
- Navegador Experto
-
Menos
Más
- Mensajes: 130
- Gracias recibidas: 154
3 años 2 meses antes #108621
por david
Respuesta de david sobre el tema Un diminuto insecto.
El siguiente usuario dijo gracias: Juan Andrés Román, Josep Torres
Por favor, Identificarse para unirse a la conversación.
- Josep Torres
-
Autor del tema
- Fuera de línea
- Moderador
-
Menos
Más
- Mensajes: 8746
- Gracias recibidas: 8379
3 años 2 meses antes - 3 años 2 meses antes #108622
por Josep Torres
Respuesta de Josep Torres sobre el tema Un diminuto insecto.
Gracias David por participar, me alegro de verte por aquí, se notan los avances en el "Curso de microscopía"
.
Buen ojo, por supuesto los círculos blancos con reborde negro de las imágenes quinta y sexta se corresponden a pequeñas burbujas de aire, en esta microscopía no presté especial atención, normalmente los suelo evitar, levantando cuidadosamente varias veces el cubre, ejerciendo poca presión y dar unos pequeños toquecitos para eliminar estas burbujas, de todos modos ya verás en el futuro que te van a salir en muchas muestras.
Los de la imágen Nº 11 ya no se corresponden con burbujas de aire sino que son gránulos, que muy probablemente procedan de algunos huevos eclosionados.
Un abrazo
Buen ojo, por supuesto los círculos blancos con reborde negro de las imágenes quinta y sexta se corresponden a pequeñas burbujas de aire, en esta microscopía no presté especial atención, normalmente los suelo evitar, levantando cuidadosamente varias veces el cubre, ejerciendo poca presión y dar unos pequeños toquecitos para eliminar estas burbujas, de todos modos ya verás en el futuro que te van a salir en muchas muestras.
Los de la imágen Nº 11 ya no se corresponden con burbujas de aire sino que son gránulos, que muy probablemente procedan de algunos huevos eclosionados.
Un abrazo
Última Edición: 3 años 2 meses antes por Josep Torres. Razón: Una falta de ortografía
El siguiente usuario dijo gracias: Juan Andrés Román, Juan
Por favor, Identificarse para unirse a la conversación.
- Juan
-
- Fuera de línea
- Moderador
-
Menos
Más
- Mensajes: 553
- Gracias recibidas: 608
3 años 2 meses antes #108633
por Juan
Respuesta de Juan sobre el tema Un diminuto insecto.
Que espectacular es el reino microscópico gracias por compartirlo :3
PD: 3 polillas de esas se comen una remera sin problema jaja
PD: 3 polillas de esas se comen una remera sin problema jaja
El siguiente usuario dijo gracias: Josep Torres
Por favor, Identificarse para unirse a la conversación.
- Josep Torres
-
Autor del tema
- Fuera de línea
- Moderador
-
Menos
Más
- Mensajes: 8746
- Gracias recibidas: 8379
3 años 2 meses antes - 3 años 2 meses antes #108634
por Josep Torres
Respuesta de Josep Torres sobre el tema Un diminuto insecto.
Pues si Juan, estas polillas gigantes son bastante comunes por la Isla.
Saludos.
Saludos.
Última Edición: 3 años 2 meses antes por Josep Torres.
Por favor, Identificarse para unirse a la conversación.
Tiempo de carga de la página: 0.162 segundos



Foro de micología