- Foro
- Foros sobre Micología de fungipedia
- Microscopía
- Probablemente......Pluteus luctuosus Boud. (1905) .
Probablemente......Pluteus luctuosus Boud. (1905) .
- Josep Torres
-
Autor del tema
- Fuera de línea
- Moderador
-
Menos
Más
- Mensajes: 8746
- Gracias recibidas: 8379
4 años 2 meses antes #107052
por Josep Torres
Hola a tod@s.
Un Pluteus de pequeño tamaño brotando directamente de un tronco tumbado de árbol tropical indeterminado:
A destacar el centro rugoso de la superficie del sombrero:
Láminas a 20 aumentos con arista y cara laminar punteadas:
Suprapellis a 100 aumentos con cutícula celulósica sin hifas fusiformes.
Hifas de la suprapellis a 1000 aumentos fuertemente pigmentadas:
Queilocistidios a 400 aumentos con algunos queilocistidios hialinos y muchos otros de pigmentados.
Queilocistidios pigmentados a 1000 aumentos:
Numerosos pleurocistidios mayoritariamente pigmentados.
Los pleurocistidios a 400 aumentos:
Los pleurocistidios a 1000 aumentos:
Los basidios:
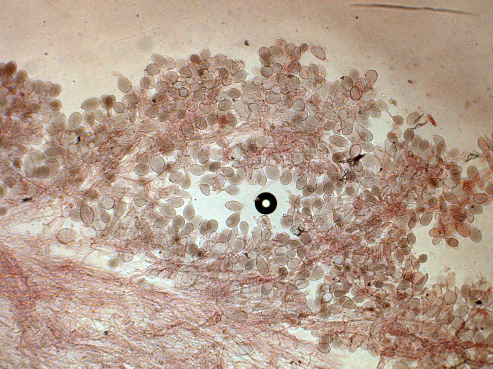
Las esporas obtenidas de manera forzada libres en las muestras en agua:
Y ya con un aspecto bastante distinto las esporas obtenidas por esporulación natural:
Las medidas de las esporas de:
6.3 - 7.3 (7.9) × 5.1 - 5.9 (6.4) µm
Q = (1.1) 1.2 - 1.3 (1.5) ; N = 25
Me = 6.9 × 5.6 µm ; Qe = 1.2
Observaciones: Por la microscopía de la pileipellis me lleva a la sección Cellulloderma, sin hifas fusiformes observadas y por el resto de características microscópicas me conducen al Pluteus phlebophorus, atendiendo a su arista laminar finamente punteada debo considerar que en este caso se tiene que tratar del Pluteus phlebophorus var. marginatus, actualmente Pluteus luctuosus, al Pluteus luctuosus según el criterio de Funga Nórdica se le atribuyen unas medidas esporales de (6-)6.5-8(-10) x (4.5-)5-6.5(-7.5) μm. muy acordes con las del presente estudio. Las únicas dudas me surgen por el punteado de la cara laminar con grandes pleurocistidios muy pigmentados de los que no se habla en la bibliografía consultada, además se trataría de todo un descubrimiento ya que en el Continente Americano solo se conoce de su presencia en algunos puntos de América del Norte, aunque hasta el momento no se ha descrito ninguna especie que encaje mejor con mi propuesta, de no tratarse de esta ya estaríamos ante una nueva especie de Pluteus aún no descrita.
Saludos a tod@s.
Un Pluteus de pequeño tamaño brotando directamente de un tronco tumbado de árbol tropical indeterminado:
A destacar el centro rugoso de la superficie del sombrero:
Láminas a 20 aumentos con arista y cara laminar punteadas:
Suprapellis a 100 aumentos con cutícula celulósica sin hifas fusiformes.
Hifas de la suprapellis a 1000 aumentos fuertemente pigmentadas:
Queilocistidios a 400 aumentos con algunos queilocistidios hialinos y muchos otros de pigmentados.
Queilocistidios pigmentados a 1000 aumentos:
Numerosos pleurocistidios mayoritariamente pigmentados.
Los pleurocistidios a 400 aumentos:
Los pleurocistidios a 1000 aumentos:
Los basidios:
Las esporas obtenidas de manera forzada libres en las muestras en agua:
Y ya con un aspecto bastante distinto las esporas obtenidas por esporulación natural:
Las medidas de las esporas de:
6.3 - 7.3 (7.9) × 5.1 - 5.9 (6.4) µm
Q = (1.1) 1.2 - 1.3 (1.5) ; N = 25
Me = 6.9 × 5.6 µm ; Qe = 1.2
Observaciones: Por la microscopía de la pileipellis me lleva a la sección Cellulloderma, sin hifas fusiformes observadas y por el resto de características microscópicas me conducen al Pluteus phlebophorus, atendiendo a su arista laminar finamente punteada debo considerar que en este caso se tiene que tratar del Pluteus phlebophorus var. marginatus, actualmente Pluteus luctuosus, al Pluteus luctuosus según el criterio de Funga Nórdica se le atribuyen unas medidas esporales de (6-)6.5-8(-10) x (4.5-)5-6.5(-7.5) μm. muy acordes con las del presente estudio. Las únicas dudas me surgen por el punteado de la cara laminar con grandes pleurocistidios muy pigmentados de los que no se habla en la bibliografía consultada, además se trataría de todo un descubrimiento ya que en el Continente Americano solo se conoce de su presencia en algunos puntos de América del Norte, aunque hasta el momento no se ha descrito ninguna especie que encaje mejor con mi propuesta, de no tratarse de esta ya estaríamos ante una nueva especie de Pluteus aún no descrita.
Saludos a tod@s.
Adjuntos:
El siguiente usuario dijo gracias: Juan Andrés Román
Por favor, Identificarse para unirse a la conversación.
- Javi Calvo
-
- Fuera de línea
- Spammer
-
Menos
Más
- Mensajes: 7009
- Gracias recibidas: 2955
4 años 2 meses antes - 4 años 2 meses antes #107054
por Javi Calvo
Respuesta de Javi Calvo sobre el tema Probablemente......Pluteus luctuosus Boud. (1905) .
Magnífica microscopía, un género este muy interesante para el estudio, pero bastante complejo, y que con toda probabilidad está sujeto a nuevas revisiones del mismo, saludos.
Última Edición: 4 años 2 meses antes por Javi Calvo.
El siguiente usuario dijo gracias: Juan Andrés Román, Josep Torres
Por favor, Identificarse para unirse a la conversación.
- Josep Torres
-
Autor del tema
- Fuera de línea
- Moderador
-
Menos
Más
- Mensajes: 8746
- Gracias recibidas: 8379
4 años 2 meses antes #107057
por Josep Torres
Respuesta de Josep Torres sobre el tema Probablemente......Pluteus luctuosus Boud. (1905) .
Gracias Javi.
Lo más sorprendente es lo de los pleurocistidios pigmentados que se pueden observar bien en el punteado de la cara de las láminas a 20 aumentos, quizás hasta sería interesante el análisis molecular, aunque de tratarse de una nueva especie no citada hasta ahora, tampoco nos iba a aclarar mucho.
Un abrazo
Lo más sorprendente es lo de los pleurocistidios pigmentados que se pueden observar bien en el punteado de la cara de las láminas a 20 aumentos, quizás hasta sería interesante el análisis molecular, aunque de tratarse de una nueva especie no citada hasta ahora, tampoco nos iba a aclarar mucho.
Un abrazo
El siguiente usuario dijo gracias: Juan Andrés Román
Por favor, Identificarse para unirse a la conversación.
- Juan Andrés Román
-
- Fuera de línea
- Spammer
-
Menos
Más
- Mensajes: 2558
- Gracias recibidas: 2756
4 años 2 meses antes #107062
por Juan Andrés Román
Respuesta de Juan Andrés Román sobre el tema Probablemente......Pluteus luctuosus Boud. (1905) .
El siguiente usuario dijo gracias: Josep Torres
Por favor, Identificarse para unirse a la conversación.
- Foro
- Foros sobre Micología de fungipedia
- Microscopía
- Probablemente......Pluteus luctuosus Boud. (1905) .
Tiempo de carga de la página: 0.289 segundos



Foro de micología