- Foro
- Foros sobre Micología de fungipedia
- Microscopía
- Monográfico de hipogeos. En agradecimiento a Juan Andrés.
Monográfico de hipogeos. En agradecimiento a Juan Andrés.
- Josep Torres
-
Autor del tema
- Fuera de línea
- Moderador
-
Menos
Más
- Mensajes: 8745
- Gracias recibidas: 8379
5 años 5 meses antes - 5 años 5 meses antes #104839
por Josep Torres
Hola a tod@s.
Agradecer a Juan Andrés, el haber hecho posible que pudiera estudiar estos 5 hipogeos, que de otro modo nunca habría tenido la ocasión.
Antes de abrir el "Tuper" ya solo por el olor ya sabía lo que contenía.
El primero y en grandes cantidades, se le pasó un poco la mano con las muestras
, tenemos la "trufa de verano" el Tuber aestivum, desde ese día acompaña a mis platos en todas las comidas. El enlace de nuestra casa:
www.fungipedia.org/hongos/tuber-aestivum.html
La imágen:
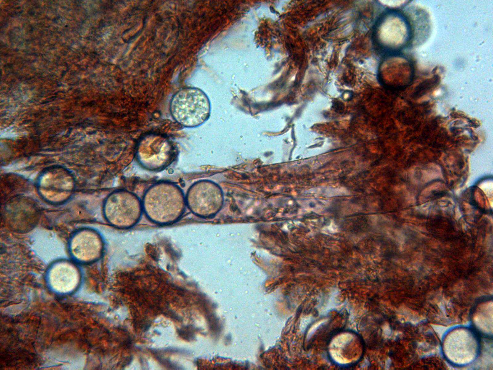
Un resumen de su micro:
Y unas imágenes de sus ascas:
Con 1 espora:
Con 2 esporas:
Con 3 esporas:
Con 4 esporas:
Con 5 esporas:
Y con 6 esporas:
Las medidas de las esporas de:
(24.5) 27.1 - 34.3 (42.2) × (16.5) 18 - 24.1 (25.9) µm
Q = (1.3) 1.4 - 1.6 (1.7) ; N = 30
Me = 30.5 × 20.5 µm ; Qe = 1.5
El segundo muy parecido al anterior pero con una cavidad basal y un olor intenso y desagradable, el Tuber mesentericum. El enlace de nuestra casa:
www.fungipedia.org/hongos/tuber-mesentericum.html
Las imágenes:
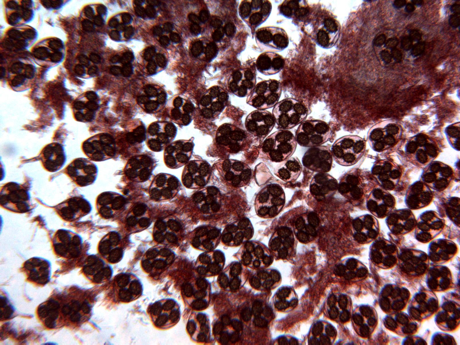
Un resumen de su microscopía:
Las ascas a 100 aumentos:
Las ascas a 400 aumentos:
Las ascas a 1000 aumentos:
Sus esporas con unas medidas sin contar la ornamentación de:
(25.2) 28.9 - 34.7 (35.5) × (18.8) 21.1 - 25.4 (28.4) µm
Q = (1.2) 1.3 - 1.46 (1.5) ; N = 30
Me = 31.5 × 22.9 µm ; Qe = 1.4
Otro en grandes cantidades el Tuber excavatum. El enlace de nuestra casa:
www.fungipedia.org/hongos/tuber-excavatum.html
Las imágenes:
Un poco de su micro:
Las ascas a 400 aumentos:
Y las esporas vistas en distintos planos:
Las medidas de las esporas de:
(29.2) 31.4 - 40 (44.7) × (21.1) 24.2 - 31.6 (35) µm
Q = (1.1) 1.2 - 1.3 (1.4) ; N = 26
Me = 35.1 × 27.6 µm ; Qe = 1.3
Seguimossssss........................
Agradecer a Juan Andrés, el haber hecho posible que pudiera estudiar estos 5 hipogeos, que de otro modo nunca habría tenido la ocasión.
Antes de abrir el "Tuper" ya solo por el olor ya sabía lo que contenía.
El primero y en grandes cantidades, se le pasó un poco la mano con las muestras
www.fungipedia.org/hongos/tuber-aestivum.html
La imágen:
Un resumen de su micro:
Y unas imágenes de sus ascas:
Con 1 espora:
Con 2 esporas:
Con 3 esporas:
Con 4 esporas:
Con 5 esporas:
Y con 6 esporas:
Las medidas de las esporas de:
(24.5) 27.1 - 34.3 (42.2) × (16.5) 18 - 24.1 (25.9) µm
Q = (1.3) 1.4 - 1.6 (1.7) ; N = 30
Me = 30.5 × 20.5 µm ; Qe = 1.5
El segundo muy parecido al anterior pero con una cavidad basal y un olor intenso y desagradable, el Tuber mesentericum. El enlace de nuestra casa:
www.fungipedia.org/hongos/tuber-mesentericum.html
Las imágenes:
Un resumen de su microscopía:
Las ascas a 100 aumentos:
Las ascas a 400 aumentos:
Las ascas a 1000 aumentos:
Sus esporas con unas medidas sin contar la ornamentación de:
(25.2) 28.9 - 34.7 (35.5) × (18.8) 21.1 - 25.4 (28.4) µm
Q = (1.2) 1.3 - 1.46 (1.5) ; N = 30
Me = 31.5 × 22.9 µm ; Qe = 1.4
Otro en grandes cantidades el Tuber excavatum. El enlace de nuestra casa:
www.fungipedia.org/hongos/tuber-excavatum.html
Las imágenes:
Un poco de su micro:
Las ascas a 400 aumentos:
Y las esporas vistas en distintos planos:
Las medidas de las esporas de:
(29.2) 31.4 - 40 (44.7) × (21.1) 24.2 - 31.6 (35) µm
Q = (1.1) 1.2 - 1.3 (1.4) ; N = 26
Me = 35.1 × 27.6 µm ; Qe = 1.3
Seguimossssss........................
Adjuntos:
Última Edición: 5 años 5 meses antes por Josep Torres.
Por favor, Identificarse para unirse a la conversación.
- Josep Torres
-
Autor del tema
- Fuera de línea
- Moderador
-
Menos
Más
- Mensajes: 8745
- Gracias recibidas: 8379
5 años 5 meses antes #104840
por Josep Torres
Respuesta de Josep Torres sobre el tema Monográfico de hipogeos. En agradecimiento a Juan Andrés.
Otro de muy parecido al anterior, el Tuber fulgens. El enlace de nuestra casa:
www.fungipedia.org/hongos/tuber-fulgens.html
Y el enlace de la comparativa con el anterior de Juan Andrés:
www.fungipedia.org/setas-informacion-y-c...gens-microscopy.html
Las imágenes:
Un poco de su micro:
Ascas con 2, 3 o 4 esporas.
Las medidas de las esporas de:
(27.9) 30.5 - 41.2 (46) × (26.1) 28.4 - 35.3 (40.7) µm
Q = 1 - 1.2 (1.3) ; N = 35
Me = 36.2 × 31.9 µm ; Qe = 1.1
Y para terminar uno de un tamaño muy reducido, sobre una hoja de Malva neglecta , la Hydnocystis bombycina, hay que ver lo difícil que me lo puso para poder localizar un asca. El enlace de nuestra casa:
www.fungipedia.org/hongos/hydnocystis-bombycina.html
Las imágenes:
Un poco de su micro:
Una imágen a 100 aumentos donde se aprecia el colapso de las esporas:
Una de las pocas ascas observadas:
Una imagen de las esporas, imposible enfocarlas todas ya que aparecían en diferentes planos:
Y una composición limpiando el fondo de varias imágenes de esporas, a destacar su forma perfectamente esférica:
Las medidas de las esporas de:
(18.8) 21.3 - 24.6 (26.7) × (18.7) 20.6 - 23.9 (25.1) µm
Q = 1 - 1.06 (1.1) ; N = 30
Me = 22.8 × 22.1 µm ; Qe = 1
De nuevo a Juan Andrés, MUCHAS GRACIAS
Saludos a tod@s.
www.fungipedia.org/hongos/tuber-fulgens.html
Y el enlace de la comparativa con el anterior de Juan Andrés:
www.fungipedia.org/setas-informacion-y-c...gens-microscopy.html
Las imágenes:
Un poco de su micro:
Ascas con 2, 3 o 4 esporas.
Las medidas de las esporas de:
(27.9) 30.5 - 41.2 (46) × (26.1) 28.4 - 35.3 (40.7) µm
Q = 1 - 1.2 (1.3) ; N = 35
Me = 36.2 × 31.9 µm ; Qe = 1.1
Y para terminar uno de un tamaño muy reducido, sobre una hoja de Malva neglecta , la Hydnocystis bombycina, hay que ver lo difícil que me lo puso para poder localizar un asca. El enlace de nuestra casa:
www.fungipedia.org/hongos/hydnocystis-bombycina.html
Las imágenes:
Un poco de su micro:
Una imágen a 100 aumentos donde se aprecia el colapso de las esporas:
Una de las pocas ascas observadas:
Una imagen de las esporas, imposible enfocarlas todas ya que aparecían en diferentes planos:
Y una composición limpiando el fondo de varias imágenes de esporas, a destacar su forma perfectamente esférica:
Las medidas de las esporas de:
(18.8) 21.3 - 24.6 (26.7) × (18.7) 20.6 - 23.9 (25.1) µm
Q = 1 - 1.06 (1.1) ; N = 30
Me = 22.8 × 22.1 µm ; Qe = 1
De nuevo a Juan Andrés, MUCHAS GRACIAS
Saludos a tod@s.
Adjuntos:
El siguiente usuario dijo gracias: Juan Andrés Román
Por favor, Identificarse para unirse a la conversación.
- Juan Andrés Román
-
- Fuera de línea
- Spammer
-
Menos
Más
- Mensajes: 2558
- Gracias recibidas: 2756
5 años 5 meses antes #104844
por Juan Andrés Román
Respuesta de Juan Andrés Román sobre el tema Monográfico de hipogeos. En agradecimiento a Juan Andrés.
Buena tirada Josep de estos 5 hipogeos 
Aprovecha y ralla el Tuber aestivum en todos los platos como si no hubiese un mañana.
Ya comentamos Javi y yo como costaba ver las condenadas ascas de la Hydnocystis bombycina sobre todo el poder encontrar con 8 esporas ya que son super frágiles y salen expulsadas volando..............................
Un fuerte abrazo y gracias a ti por todo.
Aprovecha y ralla el Tuber aestivum en todos los platos como si no hubiese un mañana.
Ya comentamos Javi y yo como costaba ver las condenadas ascas de la Hydnocystis bombycina sobre todo el poder encontrar con 8 esporas ya que son super frágiles y salen expulsadas volando..............................
Un fuerte abrazo y gracias a ti por todo.
El siguiente usuario dijo gracias: Josep Torres
Por favor, Identificarse para unirse a la conversación.
- Pepe Ferrer
-
- Fuera de línea
- Navegador Dorado
-
Menos
Más
- Mensajes: 211
- Gracias recibidas: 145
5 años 5 meses antes #104847
por Pepe Ferrer
Respuesta de Pepe Ferrer sobre el tema Monográfico de hipogeos. En agradecimiento a Juan Andrés.
Hata aquí llega el olor .
Precioso reportaje, apoyado además de lo que nos tienes acostumbrado, también con enlaces a las fichas técnicas de Fungipedia.
Gracias a los dos.
Gracias a los dos.
El siguiente usuario dijo gracias: Juan Andrés Román, Josep Torres
Por favor, Identificarse para unirse a la conversación.
- Javi Calvo
-
- Fuera de línea
- Spammer
-
Menos
Más
- Mensajes: 7009
- Gracias recibidas: 2955
5 años 5 meses antes #104851
por Javi Calvo
Respuesta de Javi Calvo sobre el tema Monográfico de hipogeos. En agradecimiento a Juan Andrés.
Buena colección de hipogeos, si señor, la verdad que el aestivum no es mala cosa para acompañar las comidas, lástima de confinamiento y no haber podido hacer una salida, saludos artista
El siguiente usuario dijo gracias: Juan Andrés Román, Josep Torres
Por favor, Identificarse para unirse a la conversación.
- Josep Torres
-
Autor del tema
- Fuera de línea
- Moderador
-
Menos
Más
- Mensajes: 8745
- Gracias recibidas: 8379
5 años 5 meses antes #104854
por Josep Torres
Respuesta de Josep Torres sobre el tema Monográfico de hipogeos. En agradecimiento a Juan Andrés.
Muchas gracias a los tres, lo de no poder coordinar una salida es lo que mas me duele, si las cosas cambian (aunque todo parece que no va a ser ya durante este año), ya para el próximo lo vamos a tener que remediar con creces.
Un fuerte abrazo a los tres
Un fuerte abrazo a los tres
El siguiente usuario dijo gracias: Juan Andrés Román
Por favor, Identificarse para unirse a la conversación.
- Foro
- Foros sobre Micología de fungipedia
- Microscopía
- Monográfico de hipogeos. En agradecimiento a Juan Andrés.
Tiempo de carga de la página: 0.292 segundos



Foro de micología