- Foro
- Foros sobre Micología de fungipedia
- Microscopía
- Phragmidium violaceum y otros del pasado domingo día 23
Phragmidium violaceum y otros del pasado domingo día 23
- Josep Torres
-
Autor del tema
- Fuera de línea
- Moderador
-
Menos
Más
- Mensajes: 8745
- Gracias recibidas: 8379
6 años 9 meses antes - 6 años 3 meses antes #102215
por Josep Torres
Hola a tod@s.
Unas imágenes de lo poco que se puede ver actualmente, todas tomadas el pasado domingo en soto fluvial.
Una roya brotando encima de unas hojas de zarza "Rubus ulmifolius", se trata de Phragmidium violaceum
Unas manchas de color púrpura que dan honor a su nombre.
En el envés de las hojas unas pequeñas fructificaciones de color amarillo y formas mas o menos redondeadas, se trata de la primera fase de la misma.
Un par de ampliaciones a 20 aumentos.
Un par de imágenes a 40 aumentos.
Urediniosporas y paráfisis en agua a 400 aumentos.
Paráfisis y espora en agua a 1000 aumentos.
Paráfisis en Azul de Lactofenol
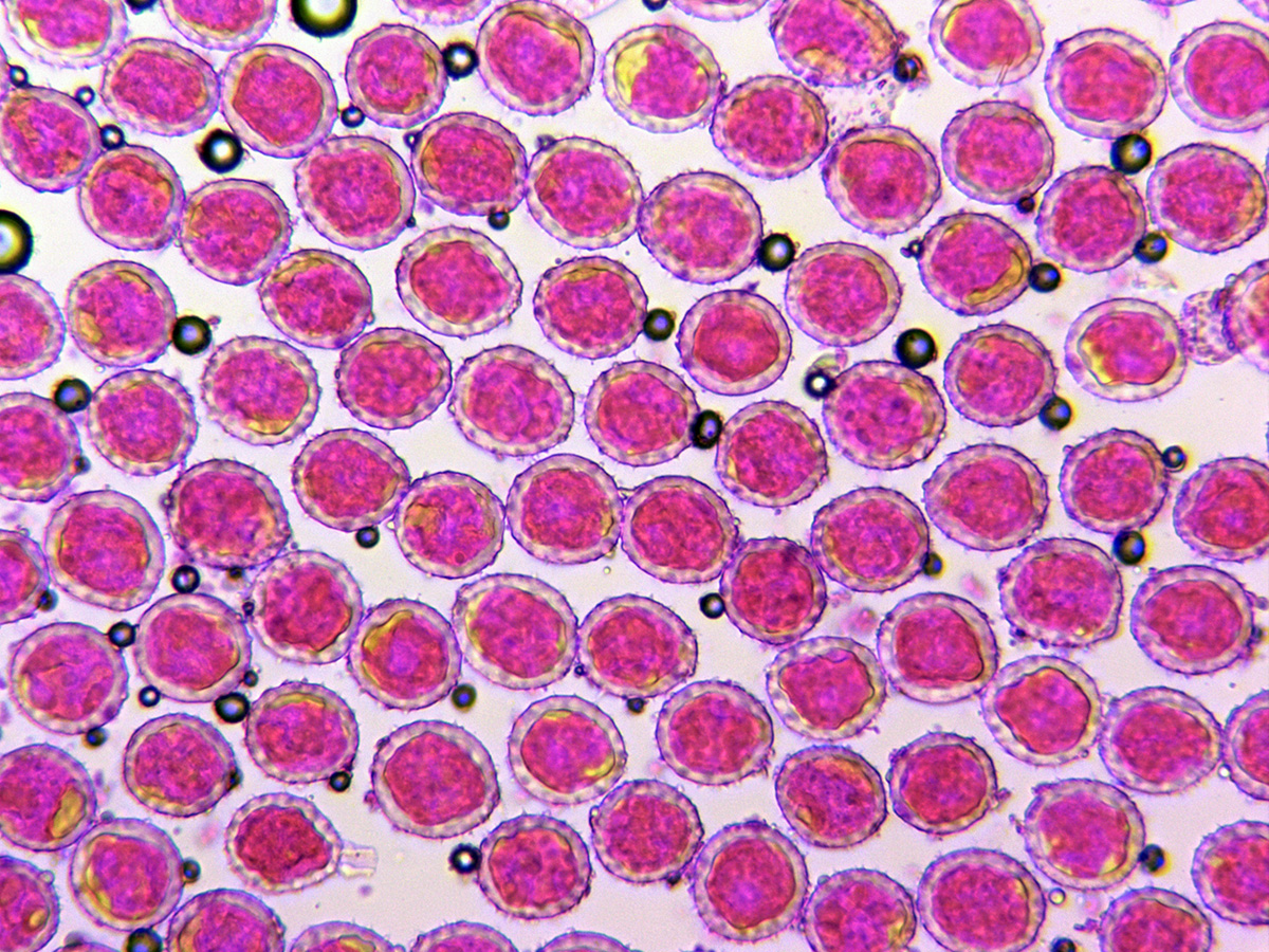
Urediniosporas en Floxina a 400 aumentos.
Con Floxina a 1000 aumentos.
Urediniosporas en Azul de Lactofenol a 1000 aumentos, en la miniatura las mismas vistas en distinto plano.
Seguimos con otra roya, una Puccinia en fase Ecial y sobre hojas de Convolvulus sepium = Calystegia sepium , se trata de Puccinia convolvuli
En la parte superior sus Eciosporas y en la parte baja las células peridiales.
Seguimos con una costra de color crema con borde de crecimiento plumoso, Gloeocystidiellum lactescens
Con basidios tetraspóricos e hifas ramificadas y sin fíbulas.
Una composición de cuatro imágenes de sus caracteristicos Gleocistidios, en algunos casos superando ampliamente las 200 µm.
Sus esporas en este caso con unas medidas de:
(5.7) 6.2 - 7.3 (8.7) × (3.8) 4.2 - 4.9 (5.3) µm
Q = (1.3) 1.4 - 1.6 (1.8) ; N = 40
Me = 6.8 × 4.6 µm ; Qe = 1.5
La ausencia de fíbulas y sus medidas esporales es lo que diferencía a esta especie.
Un Mixomiceto, aún en fase plasmodial, solo con esférulas a modo de clamidosporas de un tamaño menor que las esporas. Se trata de Physarum polycephalum.
Una Psathyrella brotando directamente de un tronco de chopo, a esta ya la presenté cuatro años atrás, en aquella ocasión me la identificó nuestro gran amigo Koldobika, se trata de la Psathyrella populina
En esta ocasión me he despachado a gusto con su microscopía:
Sus esporas con unas medidas de:
(6.7) 7 - 8 (8.8) × (3.8) 4 - 4.6 (4.9) µm
Q = (1.5) 1.6 - 1.9 (2.2) ; N = 40
Me = 7.6 × 4.3 µm ; Qe = 1.8
Y para terminar una Rosellinia, por sus características (medidas aparato apical, medidas esporales, hendidura germinal, las esporas con vaina viscosa, paráfisis hialinas, etc.), las claves del género me llevan a la Rosellinia aquila
La cubierta viscosa de las esporas solo la pude observar en la preparación de las mismas en agua destilada. Las medidas de las esporas en agua destilada de:
(15.2) 16.1 - 19.4 (20.4) × (7.2) 7.7 - 8.9 (9.5) µm
Q = (1.8) 2 - 2.4 (2.6) ; N = 30
Me = 18 × 8.2 µm ; Qe = 2.2
Y en Reactivo de Melzer de:
(15) 16.9 - 19.6 (20.2) × (6.2) 6.4 - 7.2 (7.5) µm
Q = (2.2) 2.4 - 2.9 (3.1) ; N = 20
Me = 17.9 × 6.8 µm ; Qe = 2.6
Considerablemente mas estrechas en Reactivo de Melzer.
Saludos a tod@s.
Unas imágenes de lo poco que se puede ver actualmente, todas tomadas el pasado domingo en soto fluvial.
Una roya brotando encima de unas hojas de zarza "Rubus ulmifolius", se trata de Phragmidium violaceum
Unas manchas de color púrpura que dan honor a su nombre.
En el envés de las hojas unas pequeñas fructificaciones de color amarillo y formas mas o menos redondeadas, se trata de la primera fase de la misma.
Un par de ampliaciones a 20 aumentos.
Un par de imágenes a 40 aumentos.
Urediniosporas y paráfisis en agua a 400 aumentos.
Paráfisis y espora en agua a 1000 aumentos.
Paráfisis en Azul de Lactofenol
Urediniosporas en Floxina a 400 aumentos.
Con Floxina a 1000 aumentos.
Urediniosporas en Azul de Lactofenol a 1000 aumentos, en la miniatura las mismas vistas en distinto plano.
Seguimos con otra roya, una Puccinia en fase Ecial y sobre hojas de Convolvulus sepium = Calystegia sepium , se trata de Puccinia convolvuli
En la parte superior sus Eciosporas y en la parte baja las células peridiales.
Seguimos con una costra de color crema con borde de crecimiento plumoso, Gloeocystidiellum lactescens
Con basidios tetraspóricos e hifas ramificadas y sin fíbulas.
Una composición de cuatro imágenes de sus caracteristicos Gleocistidios, en algunos casos superando ampliamente las 200 µm.
Sus esporas en este caso con unas medidas de:
(5.7) 6.2 - 7.3 (8.7) × (3.8) 4.2 - 4.9 (5.3) µm
Q = (1.3) 1.4 - 1.6 (1.8) ; N = 40
Me = 6.8 × 4.6 µm ; Qe = 1.5
La ausencia de fíbulas y sus medidas esporales es lo que diferencía a esta especie.
Un Mixomiceto, aún en fase plasmodial, solo con esférulas a modo de clamidosporas de un tamaño menor que las esporas. Se trata de Physarum polycephalum.
Una Psathyrella brotando directamente de un tronco de chopo, a esta ya la presenté cuatro años atrás, en aquella ocasión me la identificó nuestro gran amigo Koldobika, se trata de la Psathyrella populina
En esta ocasión me he despachado a gusto con su microscopía:
Sus esporas con unas medidas de:
(6.7) 7 - 8 (8.8) × (3.8) 4 - 4.6 (4.9) µm
Q = (1.5) 1.6 - 1.9 (2.2) ; N = 40
Me = 7.6 × 4.3 µm ; Qe = 1.8
Y para terminar una Rosellinia, por sus características (medidas aparato apical, medidas esporales, hendidura germinal, las esporas con vaina viscosa, paráfisis hialinas, etc.), las claves del género me llevan a la Rosellinia aquila
La cubierta viscosa de las esporas solo la pude observar en la preparación de las mismas en agua destilada. Las medidas de las esporas en agua destilada de:
(15.2) 16.1 - 19.4 (20.4) × (7.2) 7.7 - 8.9 (9.5) µm
Q = (1.8) 2 - 2.4 (2.6) ; N = 30
Me = 18 × 8.2 µm ; Qe = 2.2
Y en Reactivo de Melzer de:
(15) 16.9 - 19.6 (20.2) × (6.2) 6.4 - 7.2 (7.5) µm
Q = (2.2) 2.4 - 2.9 (3.1) ; N = 20
Me = 17.9 × 6.8 µm ; Qe = 2.6
Considerablemente mas estrechas en Reactivo de Melzer.
Saludos a tod@s.
Última Edición: 6 años 3 meses antes por Josep Torres. Razón: Se me olvidó el nombre del Physarum
El siguiente usuario dijo gracias: Juan Andrés Román, javier
Por favor, Identificarse para unirse a la conversación.
- javier
-
- Fuera de línea
- Moderador
-
Menos
Más
- Mensajes: 5617
- Gracias recibidas: 4356
6 años 9 meses antes #102216
por javier
Que bonitas quedan las esporas con la Floxina...para la temporada que viene me lo pido en "casa Ubieto"
Respuesta de javier sobre el tema Phragmidium violaceum y otros del pasado domingo día 23
El siguiente usuario dijo gracias: Josep Torres
Por favor, Identificarse para unirse a la conversación.
- Josep Torres
-
Autor del tema
- Fuera de línea
- Moderador
-
Menos
Más
- Mensajes: 8745
- Gracias recibidas: 8379
6 años 9 meses antes #102219
por Josep Torres
Respuesta de Josep Torres sobre el tema Phragmidium violaceum y otros del pasado domingo día 23
Gracias Javier, la Floxina tiene un poder de penetración mucho mayor que el del Rojo Congo y va muy bien para poder colorear el contenido de cualquier tejido.
Un abrazo
Un abrazo
El siguiente usuario dijo gracias: javier
Por favor, Identificarse para unirse a la conversación.
- Juan Andrés Román
-
- Fuera de línea
- Spammer
-
Menos
Más
- Mensajes: 2558
- Gracias recibidas: 2756
6 años 9 meses antes - 6 años 9 meses antes #102222
por Juan Andrés Román
Respuesta de Juan Andrés Román sobre el tema Phragmidium violaceum y otros del pasado domingo día 23
Buena tirada Josep
yo también me apunto a los colorantes 
Saludos.
Saludos.
Última Edición: 6 años 9 meses antes por Juan Andrés Román. Razón: Corrección ortográfica
El siguiente usuario dijo gracias: Josep Torres
Por favor, Identificarse para unirse a la conversación.
- Foro
- Foros sobre Micología de fungipedia
- Microscopía
- Phragmidium violaceum y otros del pasado domingo día 23
Tiempo de carga de la página: 0.237 segundos



Foro de micología