- Foro
- Foros sobre Micología de fungipedia
- Microscopía
- Hyaloscypha aureliella. una diminuta del pasado domingo.
Hyaloscypha aureliella. una diminuta del pasado domingo.
- Josep Torres
-
Autor del tema
- Fuera de línea
- Moderador
-
Menos
Más
- Mensajes: 8745
- Gracias recibidas: 8379
7 años 8 meses antes - 7 años 8 meses antes #99679
por Josep Torres
Hola a tod@s.
Hyaloscypha aureliella (Nyl.) Huhtinen (1990)
Muy diminutos apotecios fotografiados en pinar de altura bajo un tronco ya bastante degradado de Pinus uncinata, compartiendo espacio con una Mollisia, un Mixomiceto y una roña blanca, los tres aún pendientes de estudio.
Imágenes de los mismos a 40 aumentos:
Apotecios en con forma de disco, transparentes y borde de los mismos piloso.
Imágenes a 100 aumentos:
Con unas medidas de tan solo entre 0,25 a 0,6 mms.
Su microscopía:
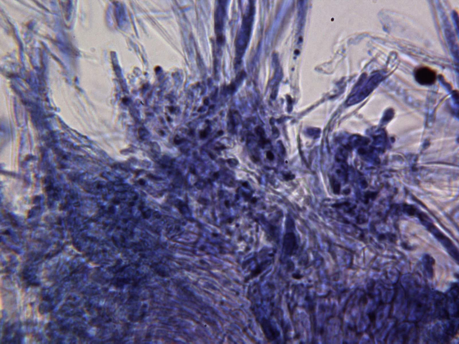
El excípulo.
Sección donde se observa el excípulo ectal (arriba) y el excípulo medular (abajo).
Excípulo en solución de Reactivo de Melzer.
Excípulo en solución de Azul de Cresilo.
Los pelos exteriores:
Pelos en solución de agua destilada a 1000 aumentos, con unas incrustaciones resinosas en su superficie.
Las medidas de los pelos , el de la imagen de 52 µm. de largo por 6 µm. de ancho en su base y tan solo 1,8 µm. de ancho en el ápice del mismo.
Base de los pelos en agua destilada.
Pelos el solución de Azul de Cresilo, soltando una pigmentación de color púrpura.
Con KOH al 20% se disuelven todas las incrustaciones resinosas de los mismos.
Las ascas y paráfisis:
Ascas en solución de Rojo Congo diluido, las de la imagen con unas medidas de 40,5 a 48,7 µm. de largo por 4,4 a 5,3 µm. de ancho.
Ascas en solución de agua destilada.
Ascas en solución de reactivo de Melzer con reacción timidamnete amiloide en el ápice.
Base de las ascas a 1000 aumentos en agua destilada.
Paráfisis en solución de Rojo Congo diluido, muy escasas y de difícil observación, filiformes con una longitud parecida a las ascas y una anchura de tan solo 1,3 a 1,6 µm.
Las esporas:
Esporas en agua destilada a 1000 aumentos.
Esporas en Rojo Congo diluido, cilíndricas, estrechadas en los extremos y algo alantoides, con gotas de grasa en su interior y unas medidas de 6;7,8 (8,2) X 2,1;2,6 µm.
Especie propia de coníferas y con preferencia por el género Pinus, muy parecida a la Hyaloscypha britannica, esta última con esporas de un tamaño mucho mayor que el de mi propuesta.
Al final he sacado "un cromo nuevo"
Saludos a tod@s.
Hyaloscypha aureliella (Nyl.) Huhtinen (1990)
Muy diminutos apotecios fotografiados en pinar de altura bajo un tronco ya bastante degradado de Pinus uncinata, compartiendo espacio con una Mollisia, un Mixomiceto y una roña blanca, los tres aún pendientes de estudio.
Imágenes de los mismos a 40 aumentos:
Apotecios en con forma de disco, transparentes y borde de los mismos piloso.
Imágenes a 100 aumentos:
Con unas medidas de tan solo entre 0,25 a 0,6 mms.
Su microscopía:
El excípulo.
Sección donde se observa el excípulo ectal (arriba) y el excípulo medular (abajo).
Excípulo en solución de Reactivo de Melzer.
Excípulo en solución de Azul de Cresilo.
Los pelos exteriores:
Pelos en solución de agua destilada a 1000 aumentos, con unas incrustaciones resinosas en su superficie.
Las medidas de los pelos , el de la imagen de 52 µm. de largo por 6 µm. de ancho en su base y tan solo 1,8 µm. de ancho en el ápice del mismo.
Base de los pelos en agua destilada.
Pelos el solución de Azul de Cresilo, soltando una pigmentación de color púrpura.
Con KOH al 20% se disuelven todas las incrustaciones resinosas de los mismos.
Las ascas y paráfisis:
Ascas en solución de Rojo Congo diluido, las de la imagen con unas medidas de 40,5 a 48,7 µm. de largo por 4,4 a 5,3 µm. de ancho.
Ascas en solución de agua destilada.
Ascas en solución de reactivo de Melzer con reacción timidamnete amiloide en el ápice.
Base de las ascas a 1000 aumentos en agua destilada.
Paráfisis en solución de Rojo Congo diluido, muy escasas y de difícil observación, filiformes con una longitud parecida a las ascas y una anchura de tan solo 1,3 a 1,6 µm.
Las esporas:
Esporas en agua destilada a 1000 aumentos.
Esporas en Rojo Congo diluido, cilíndricas, estrechadas en los extremos y algo alantoides, con gotas de grasa en su interior y unas medidas de 6;7,8 (8,2) X 2,1;2,6 µm.
Especie propia de coníferas y con preferencia por el género Pinus, muy parecida a la Hyaloscypha britannica, esta última con esporas de un tamaño mucho mayor que el de mi propuesta.
Al final he sacado "un cromo nuevo"
Saludos a tod@s.
Última Edición: 7 años 8 meses antes por Josep Torres.
El siguiente usuario dijo gracias: Juan Andrés Román, javier
Por favor, Identificarse para unirse a la conversación.
- Ricardo Ibarretxe
-
- Fuera de línea
- Spammer
-
Menos
Más
- Mensajes: 2622
- Gracias recibidas: 1942
7 años 8 meses antes #99681
por Ricardo Ibarretxe
Respuesta de Ricardo Ibarretxe sobre el tema Hyaloscypha aureliella. una diminuta del pasado domingo.
Hola Josep. Sí señor, un buen trabajo. Revisa las medidas de las esporas que se te ha colado una errata.
Un abrazo.
Un abrazo.
El siguiente usuario dijo gracias: Josep Torres
Por favor, Identificarse para unirse a la conversación.
- Josep Torres
-
Autor del tema
- Fuera de línea
- Moderador
-
Menos
Más
- Mensajes: 8745
- Gracias recibidas: 8379
7 años 8 meses antes #99682
por Josep Torres
Respuesta de Josep Torres sobre el tema Hyaloscypha aureliella. una diminuta del pasado domingo.
Gracias Ricardo, ya esta corregido, menudo lapsus, había copiado las medidas de las ascas
. A veces manejo demasiada información y voy demasiado rápido a la hora de presentar los temas.
Un abrazo
Un abrazo
Por favor, Identificarse para unirse a la conversación.
- javier
-
- Fuera de línea
- Moderador
-
Menos
Más
- Mensajes: 5617
- Gracias recibidas: 4356
7 años 8 meses antes - 7 años 8 meses antes #99684
por javier
Respuesta de javier sobre el tema Hyaloscypha aureliella. una diminuta del pasado domingo.
Hola Jpsep y buen trabajo, Creo que no hace mucho nos mostraste una muy parecida, haber si me puedes refrescar la memoria.
salu2 figura
salu2 figura
Última Edición: 7 años 8 meses antes por javier.
El siguiente usuario dijo gracias: Josep Torres
Por favor, Identificarse para unirse a la conversación.
- Josep Torres
-
Autor del tema
- Fuera de línea
- Moderador
-
Menos
Más
- Mensajes: 8745
- Gracias recibidas: 8379
7 años 8 meses antes #99688
por Josep Torres
Respuesta de Josep Torres sobre el tema Hyaloscypha aureliella. una diminuta del pasado domingo.
El siguiente usuario dijo gracias: Juan Andrés Román, javier
Por favor, Identificarse para unirse a la conversación.
- Foro
- Foros sobre Micología de fungipedia
- Microscopía
- Hyaloscypha aureliella. una diminuta del pasado domingo.
Tiempo de carga de la página: 0.274 segundos



Foro de micología