Una pequeña belleza: Psathyrella fibrillosa
- Josep Torres
-
Autor del tema
- Fuera de línea
- Moderador
-
Menos
Más
- Mensajes: 8745
- Gracias recibidas: 8379
7 años 9 meses antes - 7 años 9 meses antes #99320
por Josep Torres
Una pequeña belleza: Psathyrella fibrillosa Publicado por Josep Torres
Hola a tod@s.
Un solo ejemplar fotografiado el pasado 3 de Junio en soto fluvial, brotando sobre los restos leñosos y la hojarasca del suelo.
Psathyrella fibrillosa
Sombrero de poco mas de 1 cm., de color marrón con el centro del mismo mas oscuro. Superficie del sombrero cubierta de fibrillas blanquecinas.
Pié de color blanco cubierto asimismo de fibrillas en toda su superficie.
Esporada en masa de color marrón rojizo oscuro.
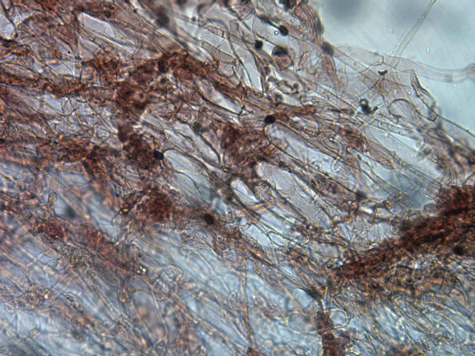
Suprapellis a 400 aumentos.
Suprapellis a 1000 aumentos. Cutícula celulósica.
Por debajo de la suprapellis pude observar unas hifas anchas dispuestas paralelamente y algunas provistas de pequeñas fíbulas.
Caulocistidios a 400 aumentos de la parte alta del pié, me parecieron muy escasos.
Hifas del estípite a 1000 aumentos, fibuladas.
Queilocistidios de dos formas, algo bastante habitual dentro del género. Queilocistidios entre piriformes y lanceolados.
Pleurocistidios de mayor longitud que los queilocistidios, asimismo lanceolados y con tenue contenido en su interior.
Basidios a 1000 aumentos, tetrasporicos.
Esporas entre ovoides y elipsoides, de color marrón oscuro, con una discreta apícula excéntrica, dejando entrever una gota de grasa en su interior.
Las medidas de las esporas de 7,6;8,5 X 4,7;5,4 micras.
Según las claves del género, la Psathyrella fibrillosa engloba dentro de su grupo a la Psathyrella artemisiae y la Psathyrella squamosa, aunque según los Indices se consideren taxones distintos.
Según Mycobank, actualmente a la Psathyrella fibrillosa deberíamos denominarla Psathyrella friesii.
Especie muy parecida a la Psathyrella spintrigeroides, esta última con esporas de menor tamaño.
Saludos a tod@s
Un solo ejemplar fotografiado el pasado 3 de Junio en soto fluvial, brotando sobre los restos leñosos y la hojarasca del suelo.
Psathyrella fibrillosa
Sombrero de poco mas de 1 cm., de color marrón con el centro del mismo mas oscuro. Superficie del sombrero cubierta de fibrillas blanquecinas.
Pié de color blanco cubierto asimismo de fibrillas en toda su superficie.
Esporada en masa de color marrón rojizo oscuro.
Suprapellis a 400 aumentos.
Suprapellis a 1000 aumentos. Cutícula celulósica.
Por debajo de la suprapellis pude observar unas hifas anchas dispuestas paralelamente y algunas provistas de pequeñas fíbulas.
Caulocistidios a 400 aumentos de la parte alta del pié, me parecieron muy escasos.
Hifas del estípite a 1000 aumentos, fibuladas.
Queilocistidios de dos formas, algo bastante habitual dentro del género. Queilocistidios entre piriformes y lanceolados.
Pleurocistidios de mayor longitud que los queilocistidios, asimismo lanceolados y con tenue contenido en su interior.
Basidios a 1000 aumentos, tetrasporicos.
Esporas entre ovoides y elipsoides, de color marrón oscuro, con una discreta apícula excéntrica, dejando entrever una gota de grasa en su interior.
Las medidas de las esporas de 7,6;8,5 X 4,7;5,4 micras.
Según las claves del género, la Psathyrella fibrillosa engloba dentro de su grupo a la Psathyrella artemisiae y la Psathyrella squamosa, aunque según los Indices se consideren taxones distintos.
Según Mycobank, actualmente a la Psathyrella fibrillosa deberíamos denominarla Psathyrella friesii.
Especie muy parecida a la Psathyrella spintrigeroides, esta última con esporas de menor tamaño.
Saludos a tod@s
Última Edición: 7 años 9 meses antes por Josep Torres.
Por favor, Identificarse para unirse a la conversación.
- Juan Andrés Román
-
- Fuera de línea
- Spammer
-
Menos
Más
- Mensajes: 2558
- Gracias recibidas: 2756
7 años 9 meses antes #99324
por Juan Andrés Román
Respuesta de Juan Andrés Román sobre el tema Una pequeña belleza: Psathyrella fibrillosa
Pues a esta no la he tenido entre las manos todavía...... 
Buen aporte Josep como nos tienes acostumbrados..
Un abrazo.
Buen aporte Josep como nos tienes acostumbrados..
Un abrazo.
El siguiente usuario dijo gracias: javier, Josep Torres
Por favor, Identificarse para unirse a la conversación.
- Jon Joseba Arnedo
-
- Fuera de línea
- Moderador
-
Menos
Más
- Mensajes: 3702
- Gracias recibidas: 3555
7 años 9 meses antes #99328
por Jon Joseba Arnedo
Respuesta de Jon Joseba Arnedo sobre el tema Una pequeña belleza: Psathyrella fibrillosa
Un aporte muy interesante, es una especie que desconocía por completo. Es lo bueno de esto, casi cada día que se sale al monte te llevas alguna sorpresa o cazas algún cromo nuevo, aunque eso cada vez esta más caro ya.
Un abrazo y a pasar una buena jornada mañana
Un abrazo y a pasar una buena jornada mañana
Por favor, Identificarse para unirse a la conversación.
- javier
-
- Fuera de línea
- Moderador
-
Menos
Más
- Mensajes: 5617
- Gracias recibidas: 4356
7 años 9 meses antes #99337
por javier
Respuesta de javier sobre el tema Una pequeña belleza: Psathyrella fibrillosa
Bonita especie y unas fotos micros muy bien detalladas
El siguiente usuario dijo gracias: Juan Andrés Román, Josep Torres
Por favor, Identificarse para unirse a la conversación.
- Koldobika
-
- Fuera de línea
- Navegador Dorado
-
Menos
Más
- Mensajes: 178
- Gracias recibidas: 237
7 años 9 meses antes #99341
por Koldobika
Respuesta de Koldobika sobre el tema Una pequeña belleza: Psathyrella fibrillosa
Hola Josep
Es muy conveniente al hacer la micro sobre todo de esta especie o una de su grupo observar el grosor de sus paredes cistidiales en agua/amoniaco y la posesión o no de depresión s.h. en sus esporas, características que la diferencian sobre todo de P.friesii, (especies para mí independientes).
Un abrazote
Es muy conveniente al hacer la micro sobre todo de esta especie o una de su grupo observar el grosor de sus paredes cistidiales en agua/amoniaco y la posesión o no de depresión s.h. en sus esporas, características que la diferencian sobre todo de P.friesii, (especies para mí independientes).
Un abrazote
Por favor, Identificarse para unirse a la conversación.
- Josep Torres
-
Autor del tema
- Fuera de línea
- Moderador
-
Menos
Más
- Mensajes: 8745
- Gracias recibidas: 8379
7 años 9 meses antes - 7 años 9 meses antes #99347
por Josep Torres
Respuesta de Josep Torres sobre el tema Una pequeña belleza: Psathyrella fibrillosa
Muchas gracias a los cuatro. para Koldobika si bien hay algunos autores que tienden a sinonimizar la Psathyrella fibrillosa con la Psathyrella friesii, en las claves aparecen como dos especies distintas, dejo un pantallazo de cada una de ellas, en mi estudio me pareció que mi propuesta encajaba mejor con la Psathyrella fibrillosa, las paredes de los cistidios me parecen un poco gruesas, aunque en estos momentos ya no lo tengo tan claro
.
Si en un futuro me topo de nuevo con la especie prometo nuevos análisis, esta vez no utilicé el Amoníaco, aunque lo utilizo habitualmente en mis estudios.
De nuevo "muchas gracias" por tus sabios consejos
Un abrazo a los cuatro
Psathyrella fibrillosa
Psathyrella friesii, actualmente Psathyrella senex.
Si en un futuro me topo de nuevo con la especie prometo nuevos análisis, esta vez no utilicé el Amoníaco, aunque lo utilizo habitualmente en mis estudios.
De nuevo "muchas gracias" por tus sabios consejos
Un abrazo a los cuatro
Psathyrella fibrillosa
Psathyrella friesii, actualmente Psathyrella senex.
Última Edición: 7 años 9 meses antes por Josep Torres.
El siguiente usuario dijo gracias: Juan Andrés Román, javier
Por favor, Identificarse para unirse a la conversación.
Tiempo de carga de la página: 0.097 segundos



Foro de micología